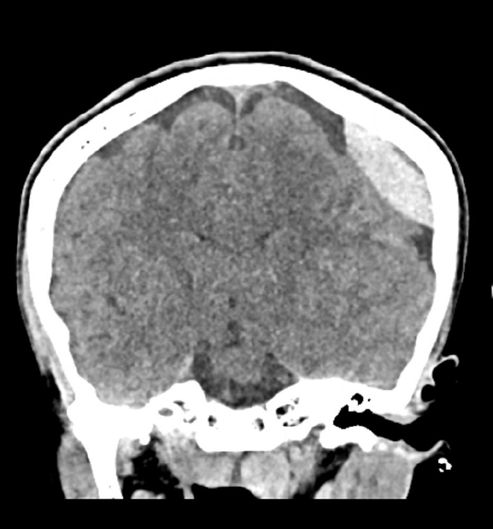
Hemorragia epidural (TC coronal)
Hiperdensidad lentiforme clásica (lente o cristalino) que no se extiende a través de las líneas de sutura.
© 2017 Elliot K. Fishman, MD.
Hiperdensidad lentiforme clásica (lente o cristalino) que no se extiende a través de las líneas de sutura.
© 2017 Elliot K. Fishman, MD.