Hemangioblastomas cerebelosos
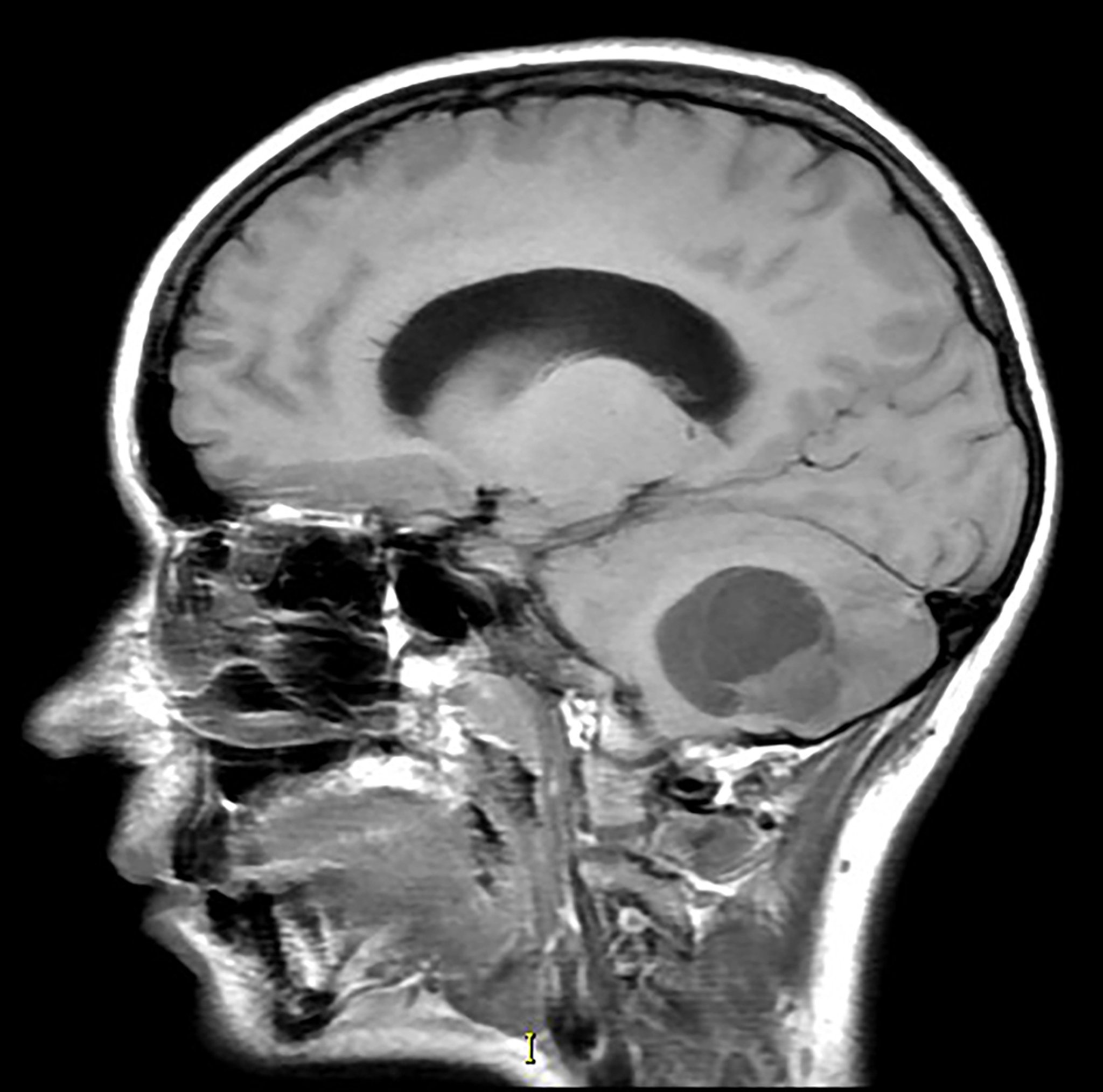
Esta imagen de resonancia magnética sagital potenciada en T1 sin contraste muestra una masa parcialmente quística y sólida en el cerebelo inferior con efecto de masa asociado. Este es el aspecto más común de un hemangioblastoma. Este tumor se observa con mayor frecuencia en pacientes con síndrome de von Hippel-Lindau.
Living Art Enterprises/SCIENCE PHOTO LIBRARY
En estos temas
