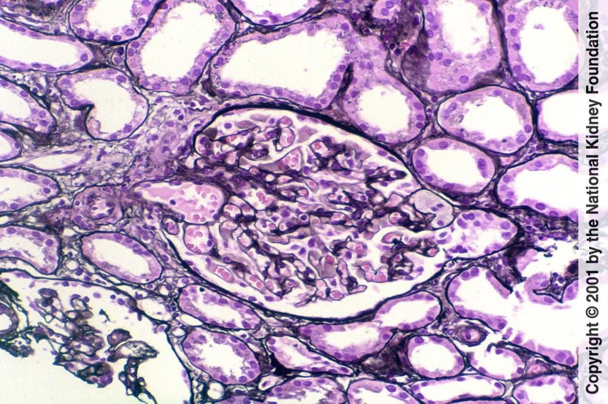
Glomerulosclerosis focal y segmentaria (lesión en la punta)
Una lesión apical indica esclerosis segmentaria localizada en el polo glomerular donde se origina el túbulo. Puede ser un marcador de mejor pronóstico (tinción de plata de Jones, ×200).
Image provided by Agnes Fogo, MD, and the American Journal of Kidney Diseases' Atlas of Renal Pathology (véase www.ajkd.org).
En estos temas
