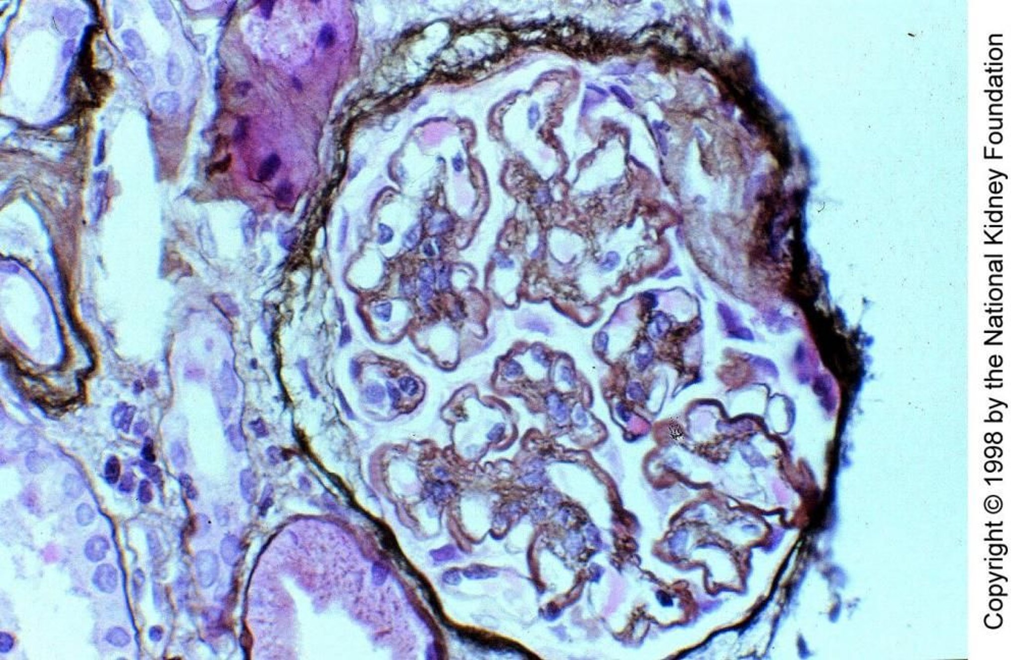
Glomerulonefritis membranoproliferativa, mediada por complemento
En la glomerulonefritis membranoproliferativa (GNMP) de tipo II mediada por el complemento, el factor nefrítico C3, un autoanticuerpo IgG que funciona como properdina al escindir directamente C3 a C3b, activa el complemento a través de la vía alternativa dentro de las paredes capilares glomerulares y el mesangio. Los depósitos de C3 reemplazan parcialmente la lámina densa de la membrana basal, lo que le da un aspecto engrosado y distintivo en forma de cinta (tinción de plata de Jones, ×400).
Image provided by Agnes Fogo, MD, and the American Journal of Kidney Diseases' Atlas of Renal Pathology (véase www.ajkd.org).
En estos temas
