Gangrena del pie (radiografía)
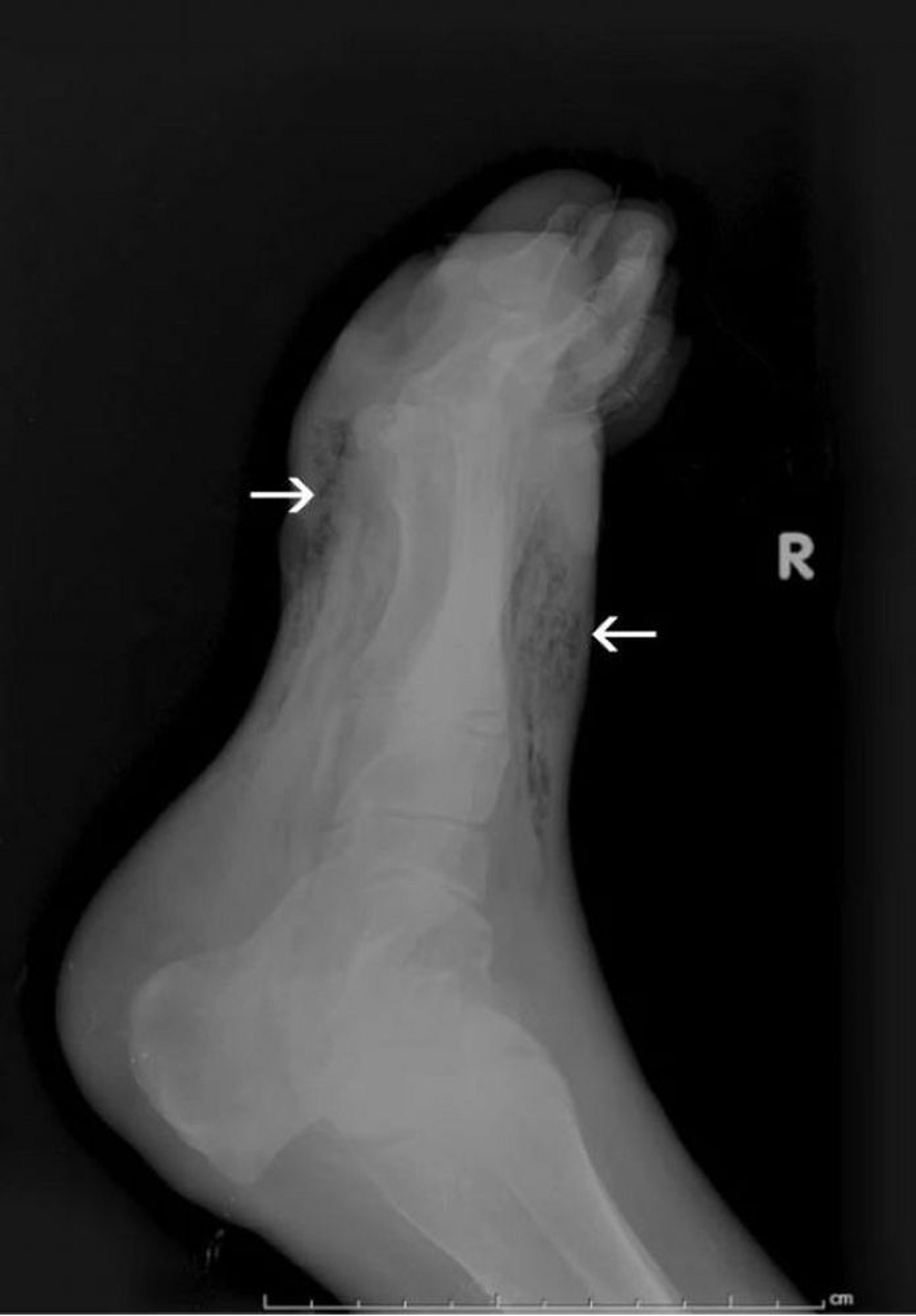
Esta radiografía muestra gas en los tejidos blandos del pie (flechas).
© Springer Science+Business Media
En estos temas
Esta radiografía muestra gas en los tejidos blandos del pie (flechas).
© Springer Science+Business Media