Fracturas del cuello de los metacarpianos
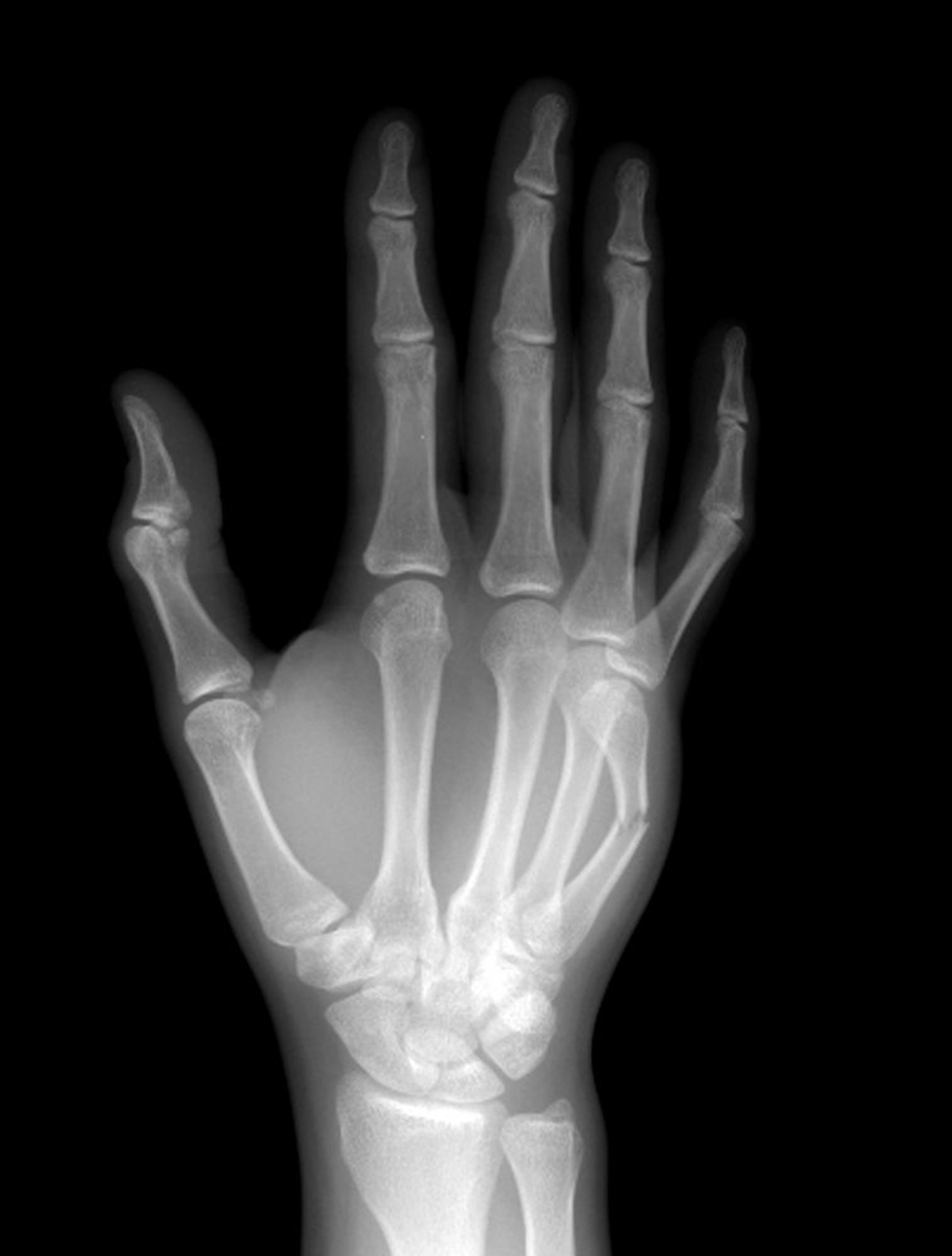
El cuello del quinto metacarpiano está fracturado en la mitad de la diáfisis.
LIVING ART ENTERPRISES, LLC/SCIENCE PHOTO LIBRARY
En estos temas
El cuello del quinto metacarpiano está fracturado en la mitad de la diáfisis.
LIVING ART ENTERPRISES, LLC/SCIENCE PHOTO LIBRARY