Fracturas costales
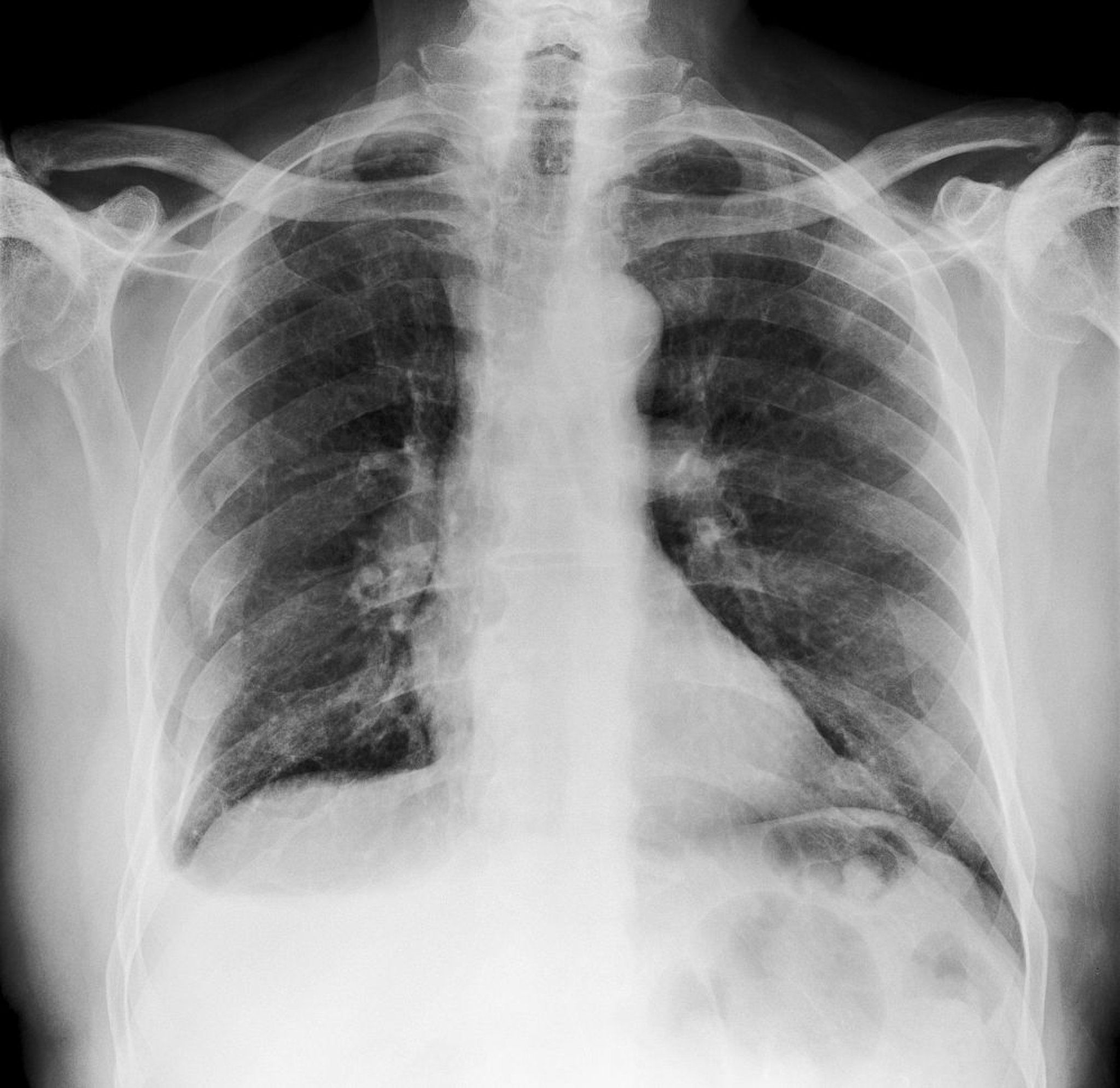
Esta radiografía torácica muestra múltiples fracturas en las costillas del lado derecho (vistas a la izquierda).
SCIENCE PHOTO LIBRARY
En estos temas
Esta radiografía torácica muestra múltiples fracturas en las costillas del lado derecho (vistas a la izquierda).
SCIENCE PHOTO LIBRARY