Fractura proximal del húmero
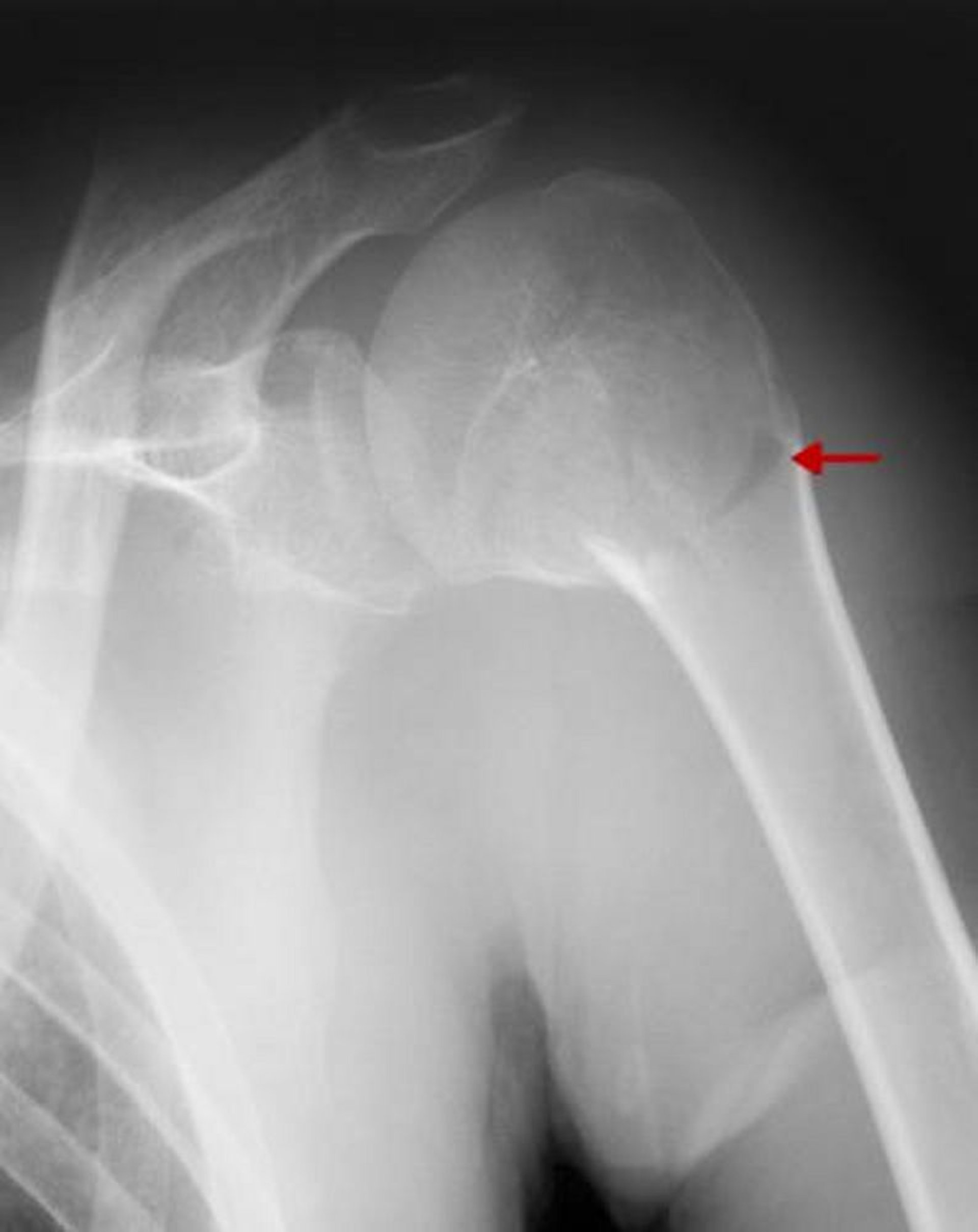
Esta fractura afecta el cuello quirúrgico. Debido a que no hay desplazamiento significativo o angulación > 45°, es una fractura de una parte.
ZEPHYR/SCIENCE PHOTO LIBRARY
En estos temas
Esta fractura afecta el cuello quirúrgico. Debido a que no hay desplazamiento significativo o angulación > 45°, es una fractura de una parte.
ZEPHYR/SCIENCE PHOTO LIBRARY