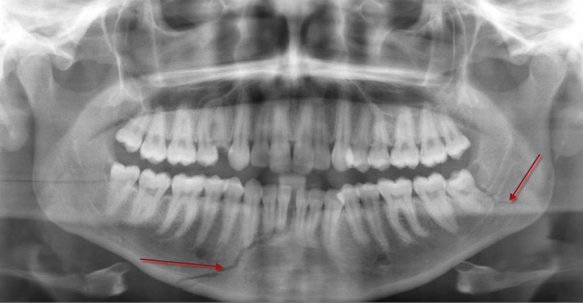
Fractura del cuerpo mandibular
Esta radiografía panorámica muestra una lucencia (flecha inferior) en el cuerpo de la mandíbula, compatible con una fractura, que llega a las raíces de algunos dientes anteriores inferiores. También hay una fractura del ángulo mandibular izquierdo (flecha).
DU CANE MEDICAL IMAGING LTD/SCIENCE PHOTO LIBRARY
En estos temas
