honeypot link
skip to main content
Professional
Público general
Manual Msd
Versión para profesionales
TEMAS MÉDICOS
RECURSOS
COMENTARIO
PROCEDIMIENTOS Y EXÁMENES
CUESTIONARIOS
ACERCA DE
TEMAS MÉDICOS
RECURSOS
<
Imágenes
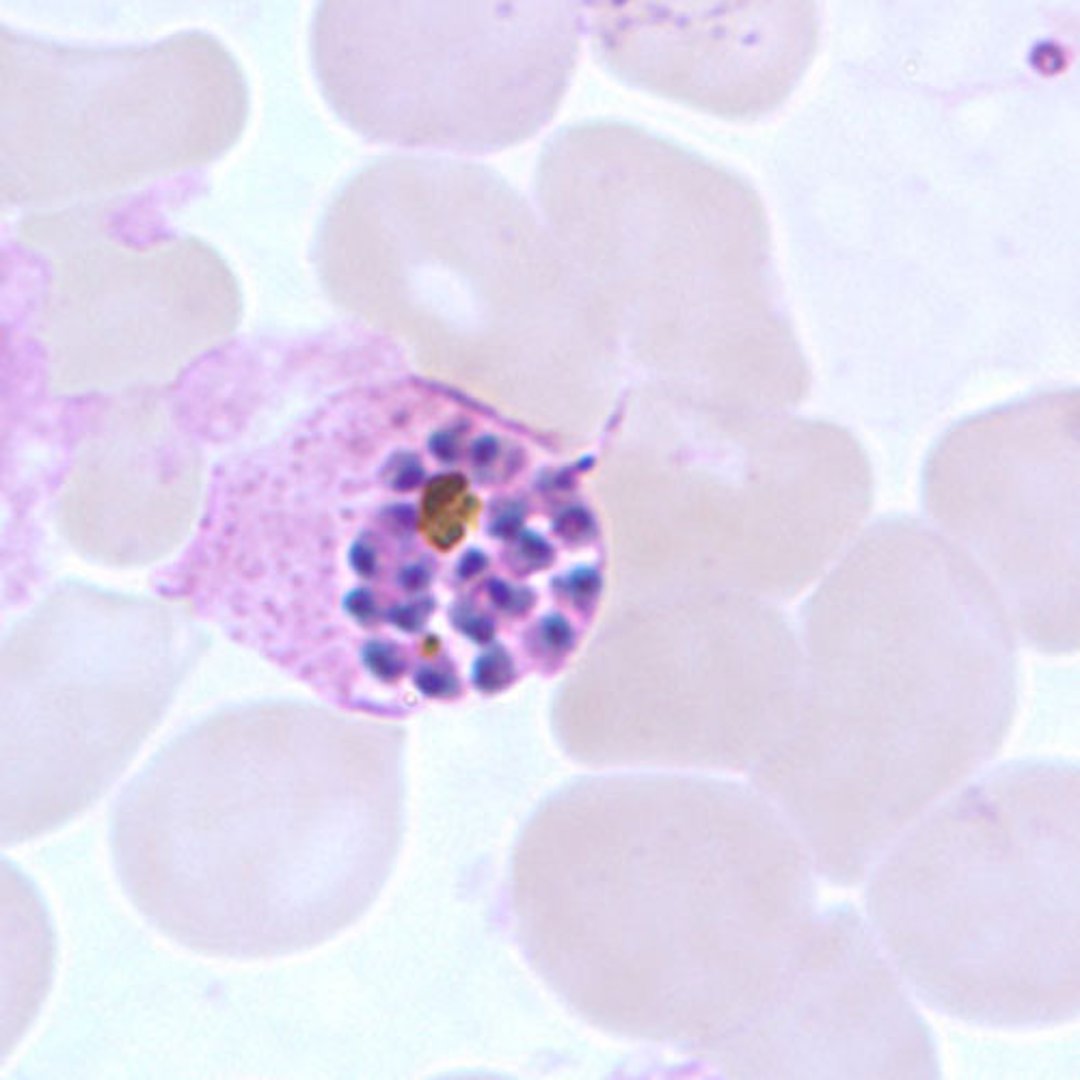
Esquizonte de
P. ovale
Esta imagen muestra un esquizonte de
P. ovale
en un frotis sanguíneo fino.
CDC/DPDx
En estos temas
Paludismo
>