Espolón en el talón
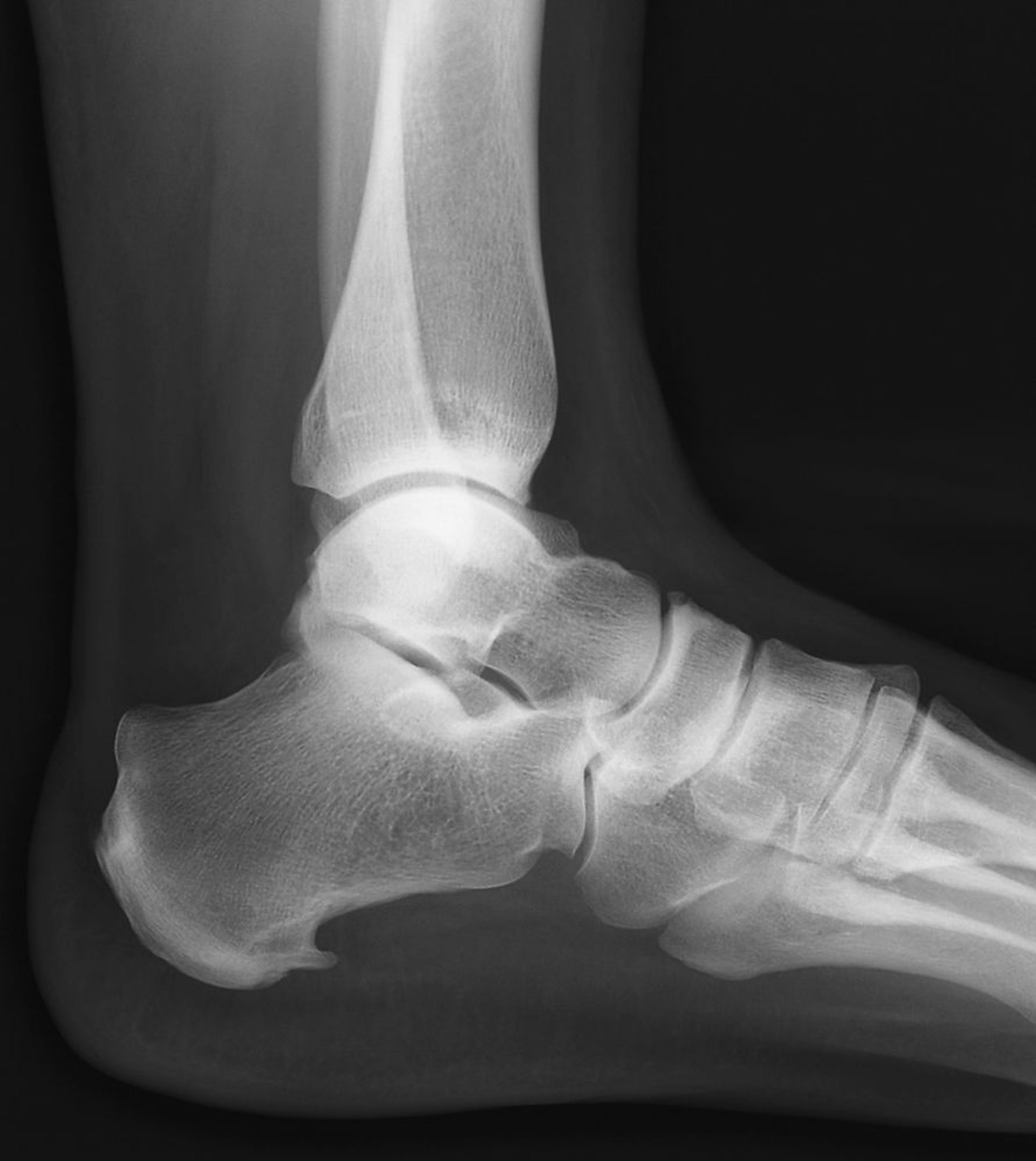
El espolón calcáneo es la exostosis ósea que se extiende hacia adelante en la parte inferior del calcáneo.
ZEPHYR/SCIENCE PHOTO LIBRARY
En estos temas
El espolón calcáneo es la exostosis ósea que se extiende hacia adelante en la parte inferior del calcáneo.
ZEPHYR/SCIENCE PHOTO LIBRARY