Enfermedad de Kienböck (radiografía posteroanterior)
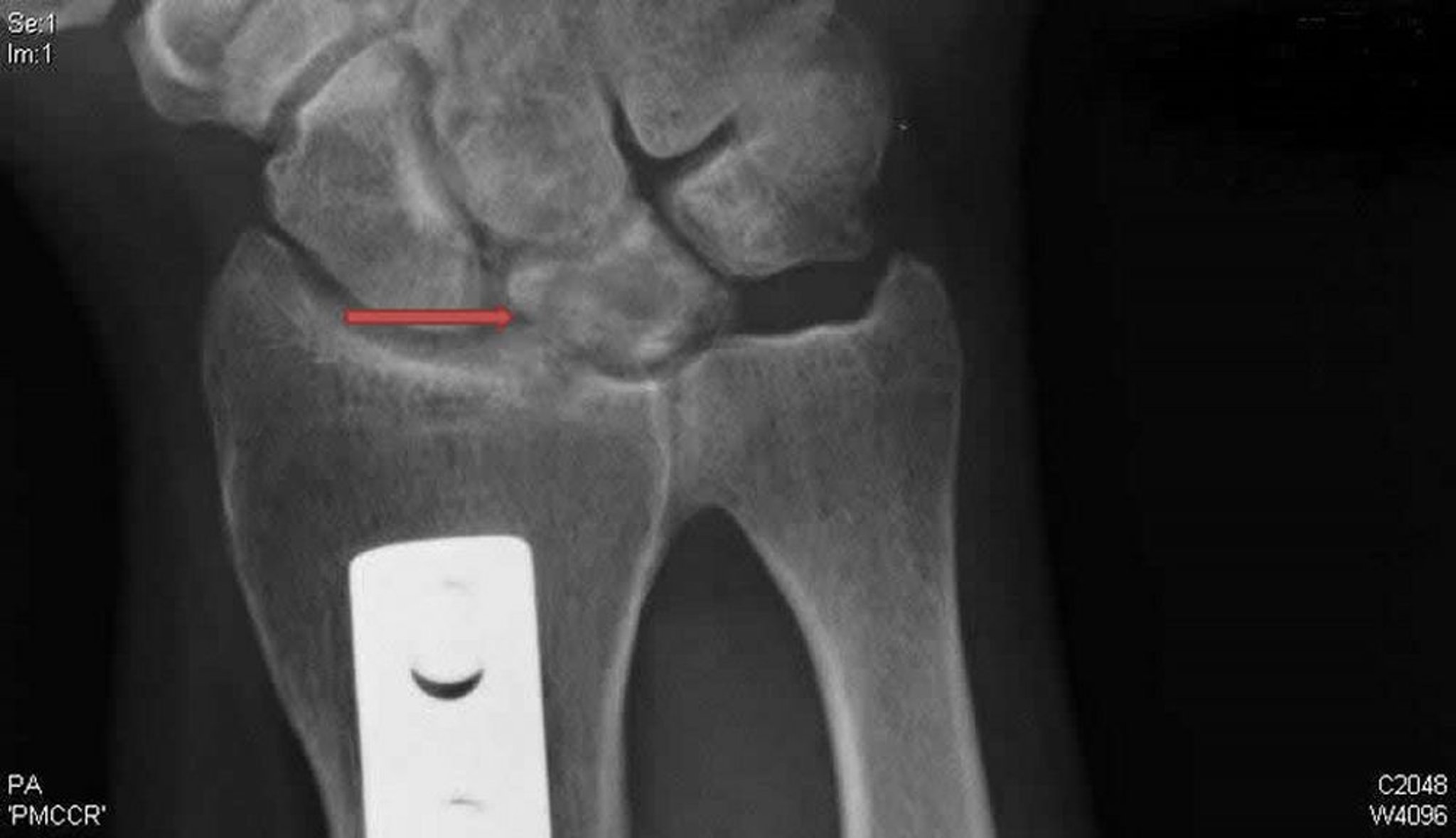
Esta radiografía posteroanterior de la muñeca derecha muestra quistes y esclerosis del hueso semilunar (flecha) típicos de la enfermedad de Kienböck. La placa metálica evidencia una osteotomía de acortamiento radial que se realizó en un esfuerzo por descargar el peso sobre el semilunar y potencialmente tratar esta condición.
Radiografía cortesía de David R. Steinberg, MD.
En estos temas
