honeypot link
skip to main content
Professional
Público general
Manual Msd
Versión para profesionales
TEMAS MÉDICOS
RECURSOS
COMENTARIO
PROCEDIMIENTOS Y EXÁMENES
CUESTIONARIOS
ACERCA DE
TEMAS MÉDICOS
RECURSOS
<
Imágenes
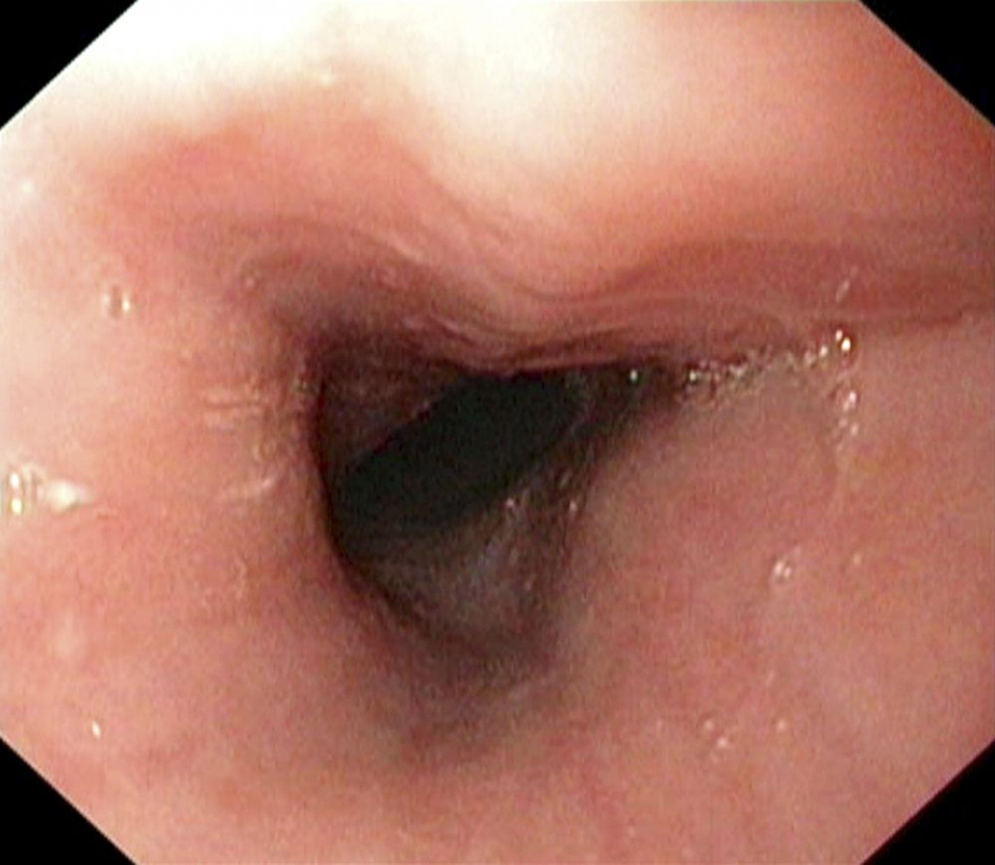
Endoscopia (esófago)
Esta fotografia muestra una vista endoscópica de un esófago normal.
GASTROLAB/SCIENCE PHOTO LIBRARY
En estos temas
Endoscopia
>