Ecografía lateral torácica (derecha)
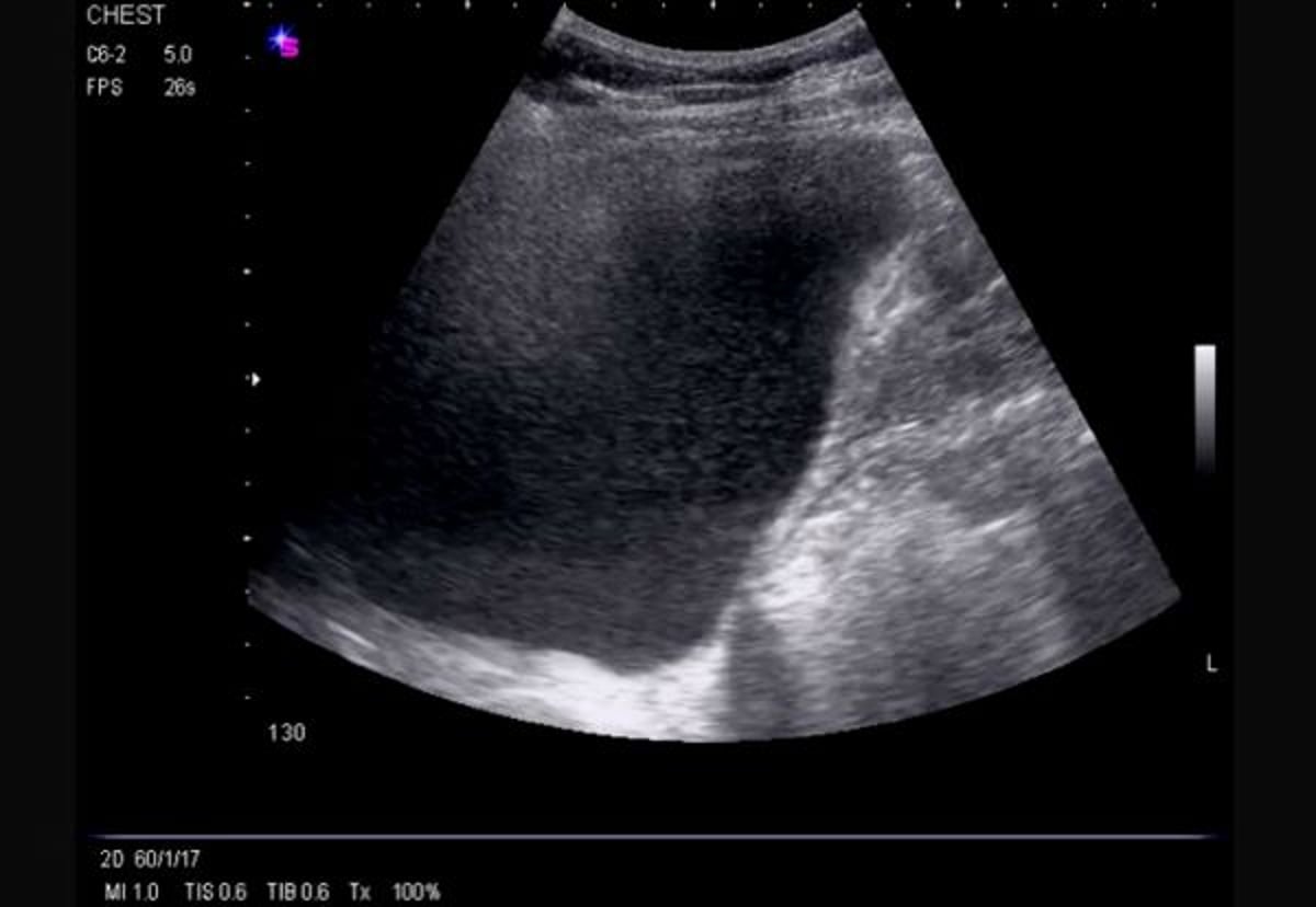
Esta ecografía muestra un derrame libre masivo del lado derecho, ecogénico, que causa inversión del hemidiafragma.
Image courtesy of Najib M. Rahman, BMBCh MA (oxon) DPhil.
En estos temas
Esta ecografía muestra un derrame libre masivo del lado derecho, ecogénico, que causa inversión del hemidiafragma.
Image courtesy of Najib M. Rahman, BMBCh MA (oxon) DPhil.