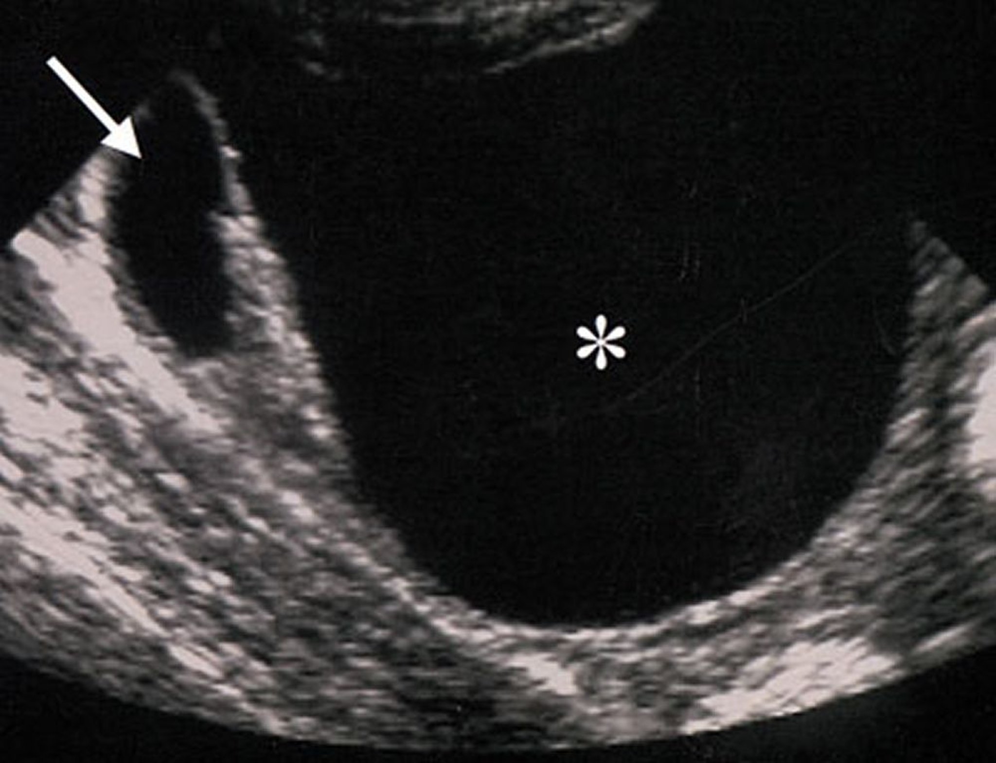
Ecografía de una masa ovárica benigna
Las características ecográficas de esta masa ovárica (indicada por un asterisco) sugieren que la masa es benigna. La masa es anecoica (lo que sugiere ausencia de componentes sólidos), regular, delímites netos y sin engrosamiento de la pared ni excrecencias.
By permission of the publisher. From Hricak H, Coakley F, Bergman A. In Atlas of Cancer. Edited by M Markman, RR Barakat, and WJ Hoskins. Philadelphia, Current Medicine, 2002.
En estos temas
