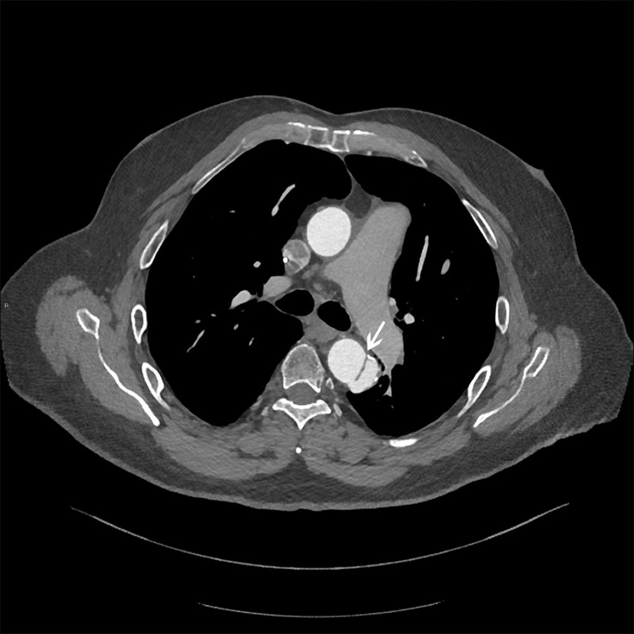
Disección aórtica torácica (tipo B de Stanford)
Imagen axial del colgajo de disección (flecha blanca) en la aorta torácica descendente.
© 2017 Elliot K. Fishman, MD.
En estos temas
Imagen axial del colgajo de disección (flecha blanca) en la aorta torácica descendente.
© 2017 Elliot K. Fishman, MD.