Derrame pleural leve
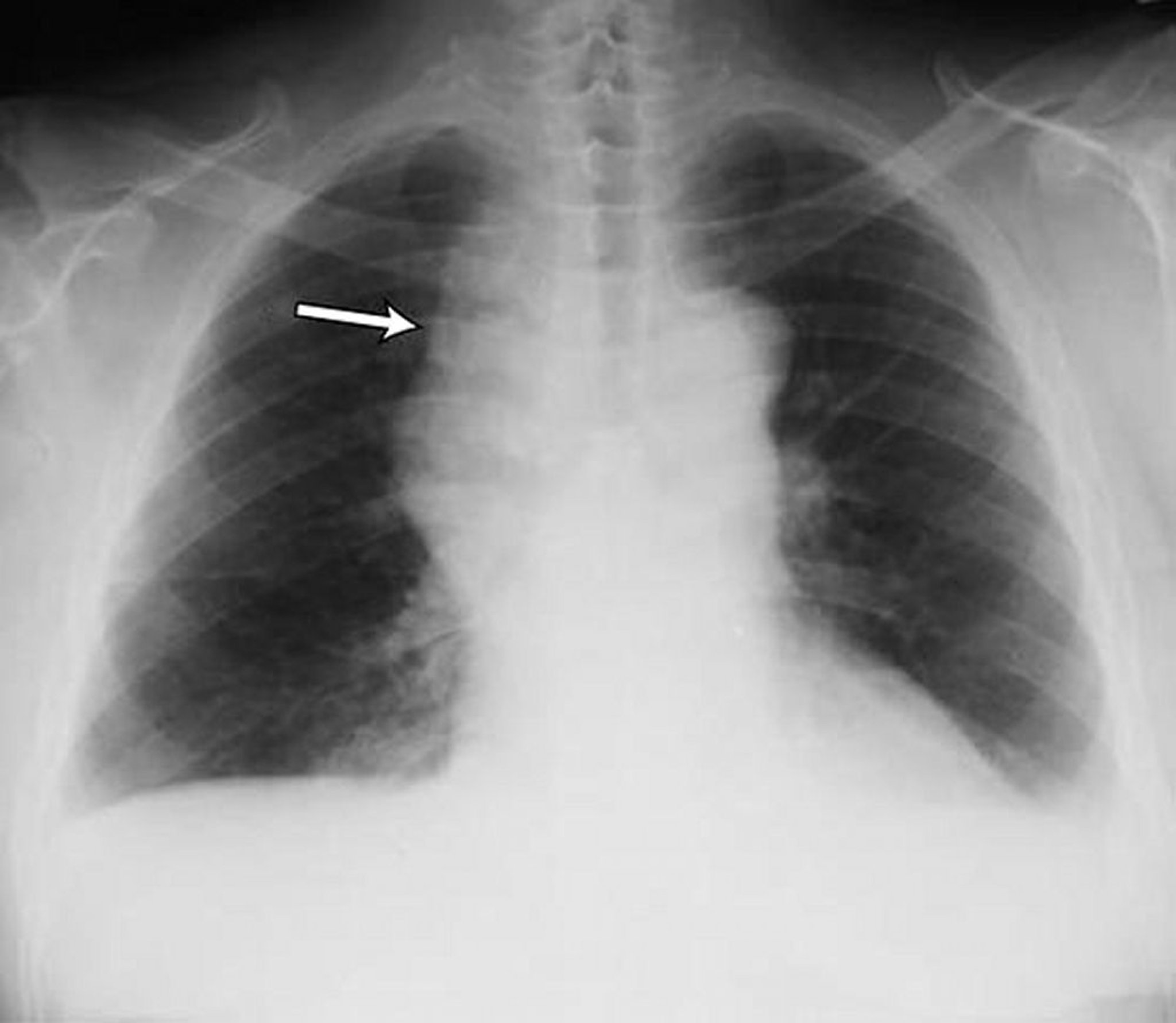
Derrames pleurales bilaterales leves en un paciente con linfoma no Hodgkin. Ambos ángulos costofrénicos están romos. La flecha señala el mediastino dilatado a causa del linfoma.
By permission of the publisher. From Huggins J, Sahn S. In Bone's Atlas of Pulmonary and Critical Care Medicine. Edited by J Crapo. Philadelphia, Current Medicine, 2005.
En estos temas
