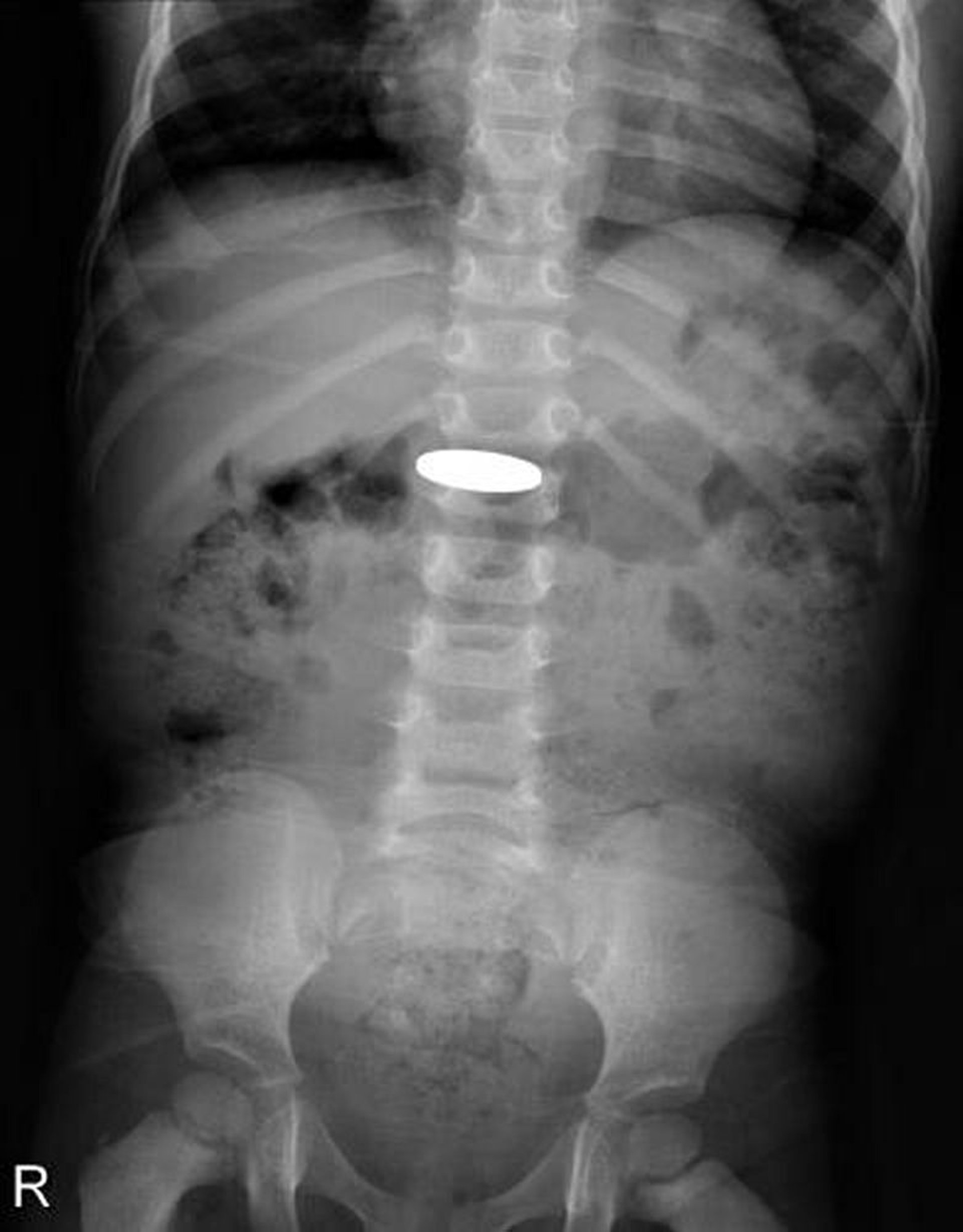
Cuerpo extraño en el tubo digestivo (radiografía)
Esta radiografía muestra una moneda que fue tragada por un niño pequeño.
DU CANE MEDICAL IMAGING LTD/SCIENCE PHOTO LIBRARY
Esta radiografía muestra una moneda que fue tragada por un niño pequeño.
DU CANE MEDICAL IMAGING LTD/SCIENCE PHOTO LIBRARY