Cordoma
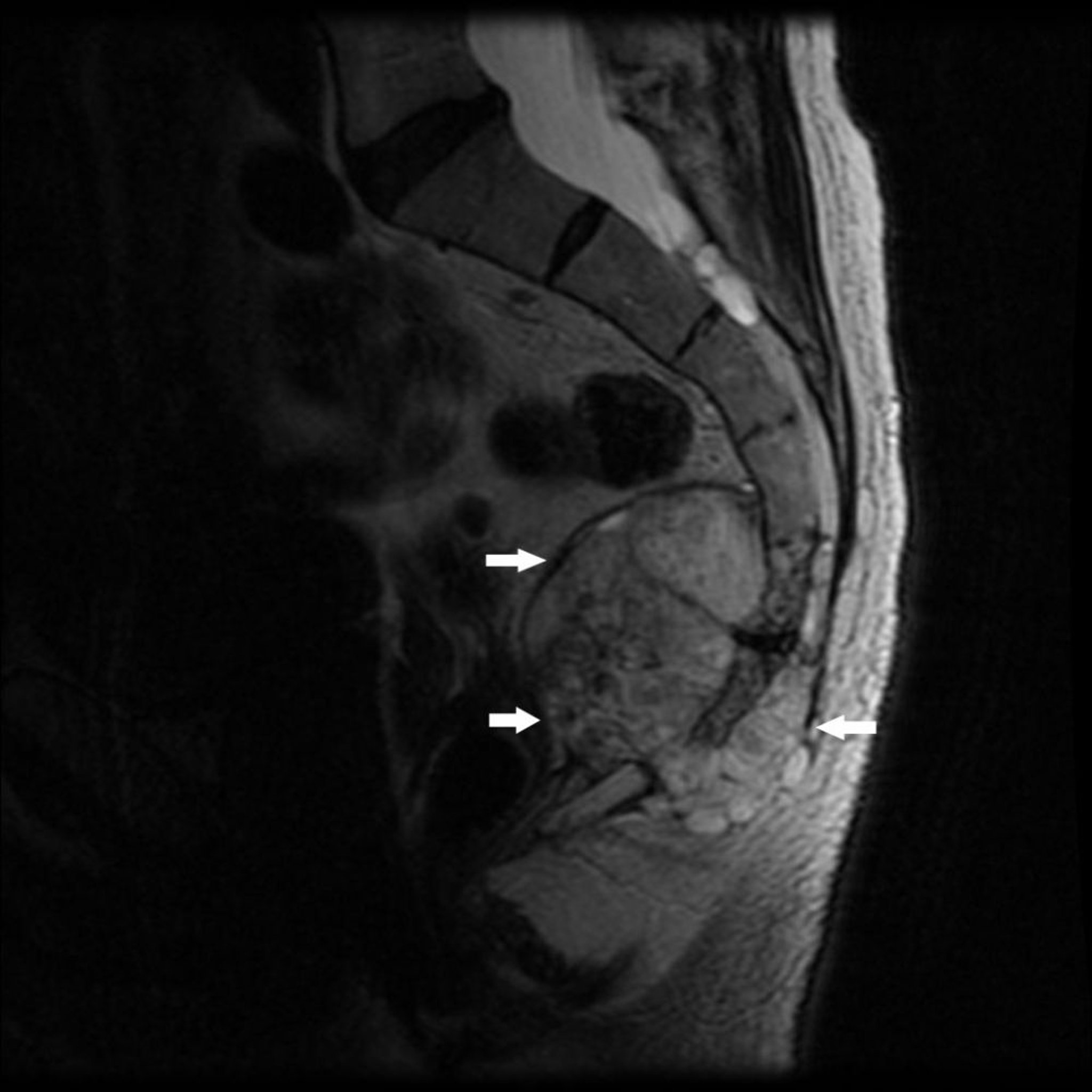
Esta RM muestra un tumor en el extremo caudal del sacro (S4) y cóccix con destrucción ósea y masa de tejido blando (flechas), característica de un cordoma.
Image courtesy of Michael J. Joyce, MD, and Hakan Ilaslan, MD.
En estos temas
Esta RM muestra un tumor en el extremo caudal del sacro (S4) y cóccix con destrucción ósea y masa de tejido blando (flechas), característica de un cordoma.
Image courtesy of Michael J. Joyce, MD, and Hakan Ilaslan, MD.