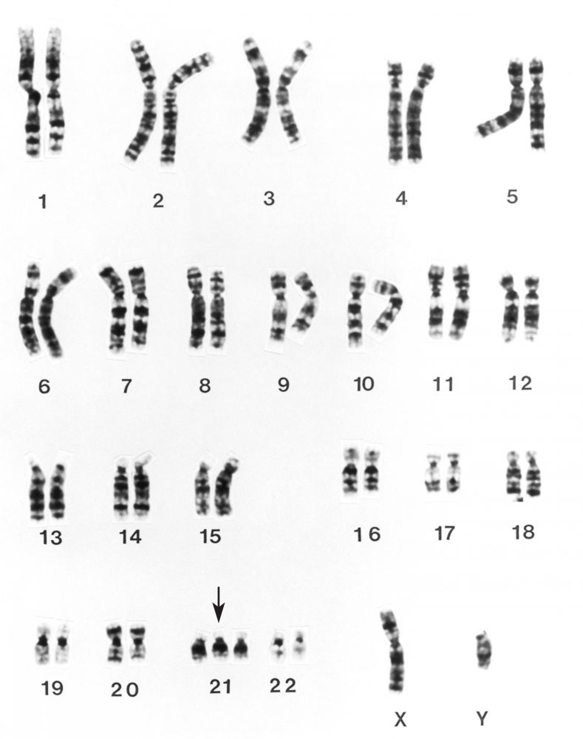
Cariotipo del síndrome de Down
El síndrome de Down se caracteriza por la trisomía 21, que es un cromosoma 21 adicional (véase flecha).
L. WILLATT, EAST ANGLIAN REGIONAL GENETICS SERVICE/SCIENCE PHOTO LIBRARY
En estos temas
El síndrome de Down se caracteriza por la trisomía 21, que es un cromosoma 21 adicional (véase flecha).
L. WILLATT, EAST ANGLIAN REGIONAL GENETICS SERVICE/SCIENCE PHOTO LIBRARY