Carbunco (inhalación)
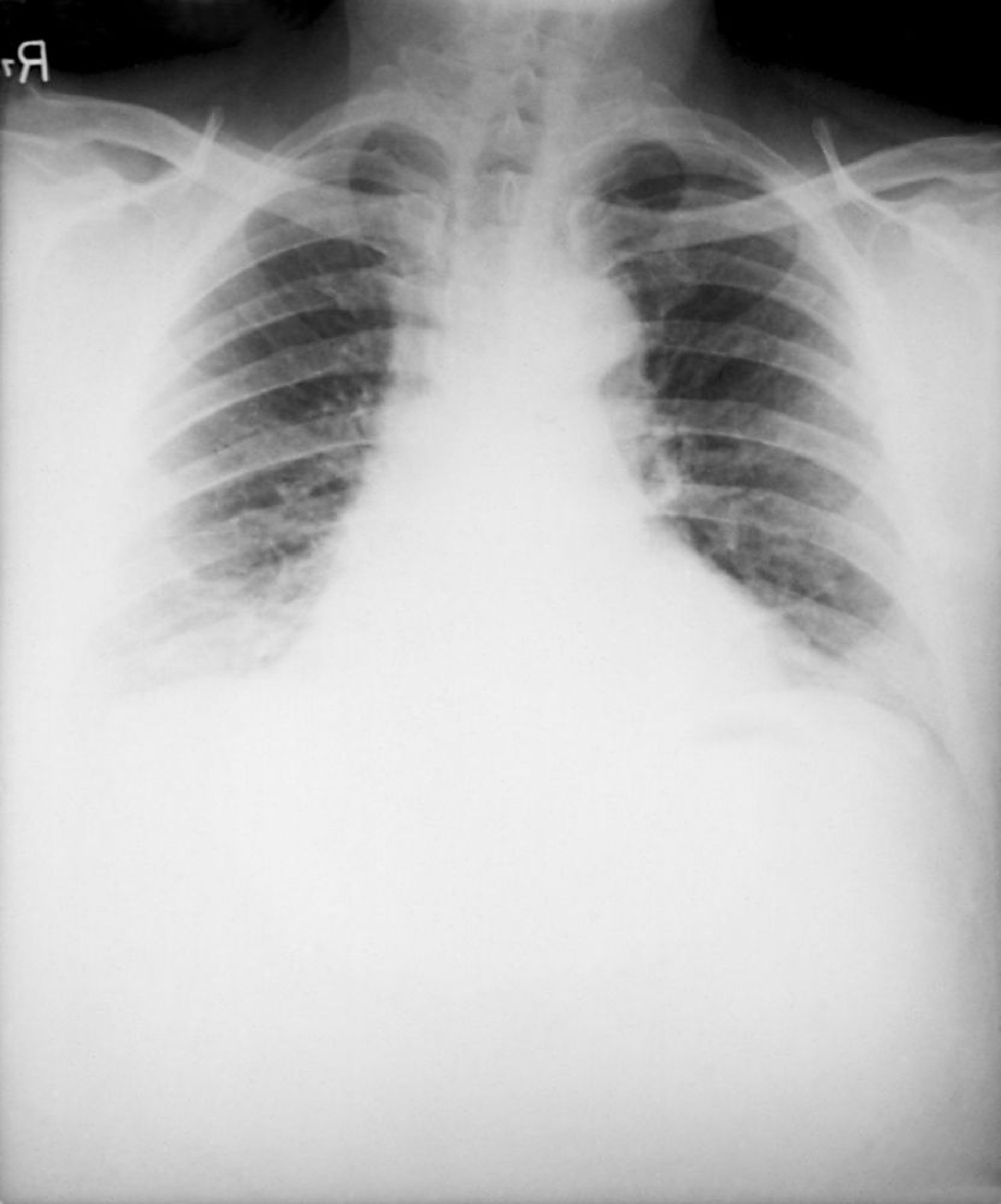
Los hallazgos típicos de ántrax por inhalación en la radiografía de tórax consisten en un ensanchamiento mediastínico causado por una linfadenitis mediastínica necrosante hemorrágica y la presencia de derrames pleurales bilaterales. Los infiltrados neumónicos son raros.
Image courtesy of the Public Health Image Library of the Centers for Disease Control and Prevention.
En estos temas
