Blastomicosis
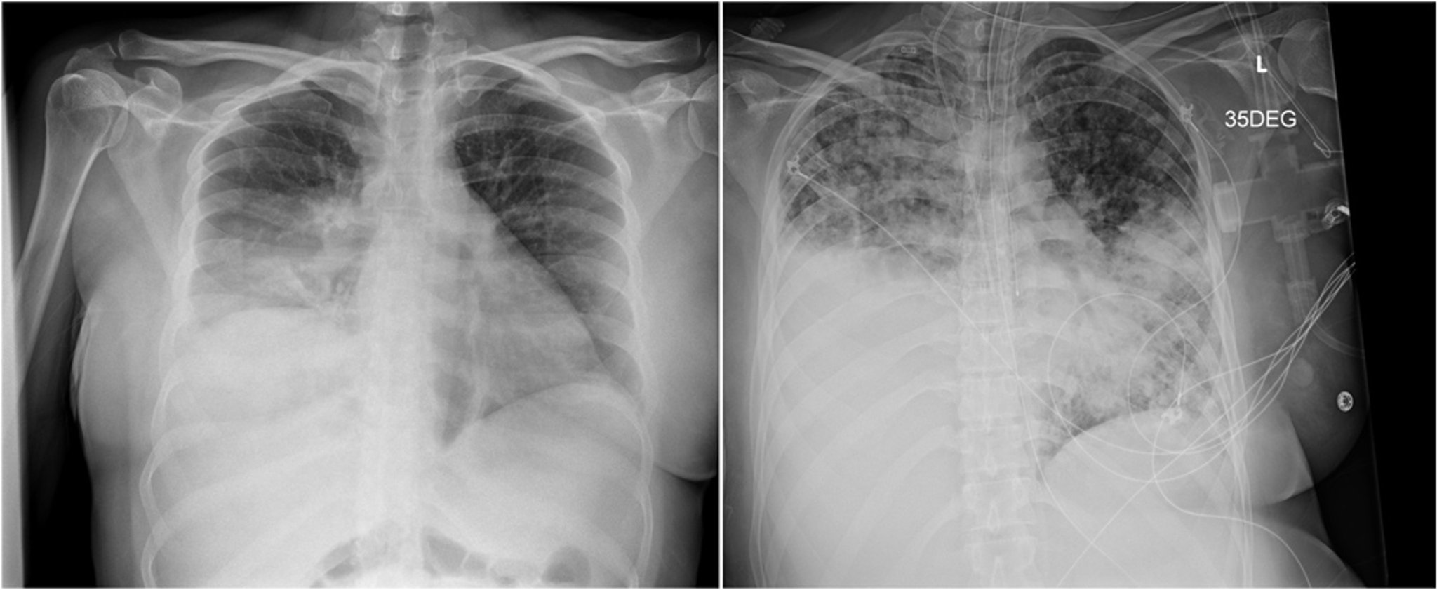
La radiografía de la izquierda muestra una consolidación del lóbulo inferior derecho que se confundió con una neumonía bacteriana. La radiografía de la derecha, tomada tres semanas después, muestra la progresión de la enfermedad con opacidades en el espacio aéreo bilateral en parches y consolidación densa en el lóbulo pulmonar inferior derecho.
Images courtesy of Paschalis Vergidis, MD, MSc.
En estos temas
