Adenoma pleomorfo de la glándula salival palatina
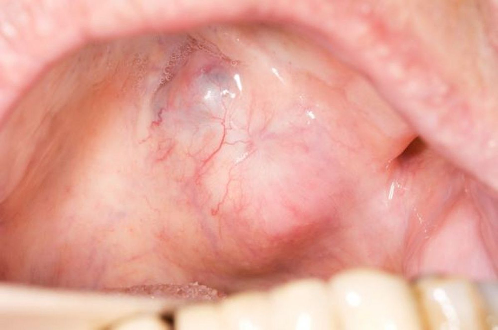
El adenoma pleomorfo es la neoplasia benigna intraoral más frecuente. La mucosa palatina es la localización más frecuente.
DR. P. MARAZZI/SCIENCE PHOTO LIBRARY
En estos temas
El adenoma pleomorfo es la neoplasia benigna intraoral más frecuente. La mucosa palatina es la localización más frecuente.
DR. P. MARAZZI/SCIENCE PHOTO LIBRARY