Absceso cerebeloso
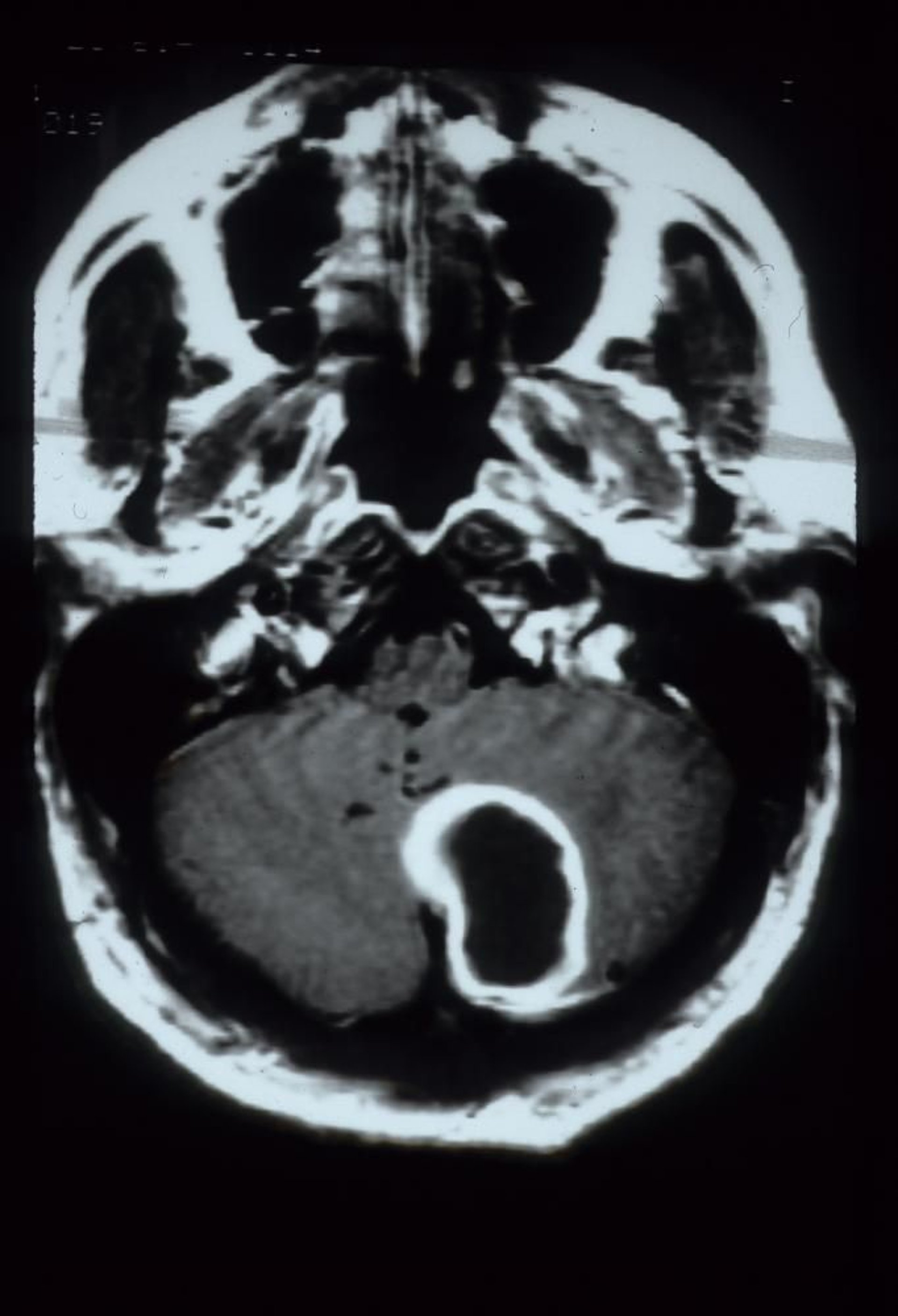
Esta RM con gadolinio muestra un absceso cerebeloso, que aparece como una gran lesión cavitaria con refuerzo en el reborde en el hemisferio cerebeloso izquierdo.
Courtesy of John E. Greenlee, MD.
En estos temas
Esta RM con gadolinio muestra un absceso cerebeloso, que aparece como una gran lesión cavitaria con refuerzo en el reborde en el hemisferio cerebeloso izquierdo.
Courtesy of John E. Greenlee, MD.