La meningoencefalitis amebiana primaria es una infección aguda rara y generalmente mortal del sistema nervioso central causada por la ameba de vida libre Naegleria fowleri. Los síntomas incluyen cambios neurológicos y usualmente una progresión rápida hacia la muerte. El diagnóstico se realiza principalmente mediante el análisis del líquido cefalorraquídeo. El tratamiento consiste en miltefosina y otros fármacos.
Naegleria fowleri habita en el suelo y en los cuerpos de agua dulce y caliente de todo el mundo; no vive en agua salada. N. fowleri también puede vivir en aguas termales, en agua cálida que se descarga de plantas industriales, o en piscinas mal mantenidas con cloración mínima o nula. Incluso puede crecer en calentadores de agua a temperaturas de hasta 46 °C y sobrevivir por períodos cortos a temperaturas más altas.
En los Estados Unidos, la mayoría de las infecciones han ocurrido en estados del sur después de la exposición a agua cálida y dulce de lagos y ríos en el verano (1).
La natación en agua contaminada expone la mucosa nasal al microorganismo, que puede ingresar en el sistema nervioso central a través del neuroepitelio olfatorio y la placa cribriforme. La mayoría de los pacientes son niños o adultos jóvenes sanos.
Referencia general
1. Centers for Disease Control and Prevention (CDC). About Naegleria fowleri Infections. Accessed March 24, 2025.
Fisiopatología de la meningoencefalitis amebiana primaria
El ciclo vital de N. fowleri comprende 3 etapas: quistes, trofozoítos (la forma infecciosa) y flagelados.
Los trofozoítos pueden entrar al cuerpo a través de la mucosa nasal. Luego migran al encéfalo (después de penetrar la lámina cribosa) a través de los nervios olfatorios, donde causan meningoencefalitis amebiana primaria.
En pacientes infectados, los trofozoítos se encuentran en el líquido cefalorraquídeo (LCR) y los tejidos, y los flagelados ocasionalmente se encuentran en el LCR. No se ven quistes en el tejido encefálico.
1–3. El ciclo de vida de N. fowleri tiene 3 etapas: quistes, trofozoítos, flagelados.
4. Los trofozoítos se replican por promitosis (la membrana nuclear permanece intacta).
5–6. Los trofozoítos son la forma infectiva. Pueden convertirse en flagelados temporarios que no se alimentan y suelen revertir el proceso para volver a ser trofozoítos. Los trofozoítos infectan a humanos o a animales mediante la penetración de la mucosa nasal, usualmente durante la natación o si se efectúa irrigación sinusal (5), y migración al cerebro (6) a través de los nervios olfatorios, lo que causa una meningoencefalitis amebiana primaria. Los trofozoítos se encuentran en el líquido cefalorraquídeo (LCR) y el tejido, mientras que en ocasiones se encuentran flagelados en el LCR. No se ven quistes en el tejido encefálico.
Image from the Centers for Disease Control and Prevention, Global Health, Division of Parasitic Diseases and Malaria.
Signos y síntomas de la meningoencefalitis amebiana primaria
Los síntomas de la meningoencefalitis amebiana primaria comienzan entre 1 y 2 semanas después de la exposición, a veces con alteración del olfato y el gusto.
Luego aparece una meningoencefalitis fulminante, con cefalea, signos meníngeos y cambios del estado mental, que progresa hasta provocar la muerte del paciente en 10 días, en general debido a una hernia cerebral. Sólo unos pocos pacientes han sobrevivido.
Diagnóstico de meningoencefalitis amebiana primaria
Examen del líquido cefalorraquídeo
La meningoencefalitis amebiana primaria se sospecha en un paciente con antecedentes de haber nadado en agua dulce, pero la confirmación es difícil porque la tomografía computarizada (TC), la resonancia magnética (RM) y las pruebas habituales en el líquido cefalorraquídeo, si bien son necesarias para excluir otras causas, no ofrecen signos específicos de la enfermedad. Los hallazgos típicos en los estudios de diagnóstico por imágenes muestran edema cerebral, hidrocefalia y realce de contraste meníngeo.
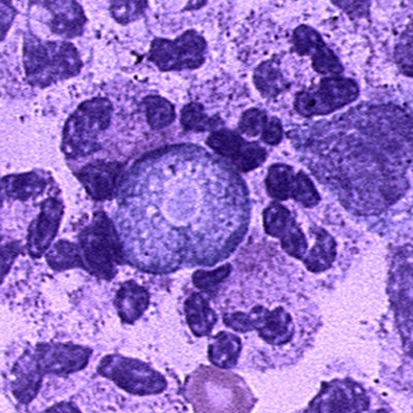
Debe realizarse una preparación húmeda de LCR fresco (no refrigerado ni congelado) lo antes posible; puede mostrar trofozoítos amebianos móviles (que pueden observarse en muestras teñidas con Giemsa y hematoxilina y eosina, pero que se destruyen con técnicas de tinción de Gram).
Esta imagen muestra un trofozoíto de N. fowleri en líquido cefalorraquídeo teñido con hematoxilina y eosina.
CDC/DPDx
En laboratorios especializados de referencia se dispone de pruebas inmunohistoquímicas, cultivo amebiano, PCR (polymerase chain reaction) del líquido cefalorraquídeo y/o biopsias del cerebro. Se recomienda consultar con el Centers for Disease Control and Prevention (CDC) u otros expertos en el diagnóstico de encefalitis amebiana.
Tratamiento de la meningoencefalitis amebiana primaria
Múltiples medicamentos, incluidos miltefosina más medicamentos antimicóticos y antibióticos
El tratamiento óptimo no está claro, pero debe iniciarse lo antes posible. Se recomienda consultar con expertos de los CDC (Consultation with the Centers for Disease Control and Prevention (CDC), Consulta con los Centros para el Control y la Prevención de Enfermedades, CDC por sus siglas en inglés).
Los regímenes de tratamiento deben incluir el fármaco antileishmanial miltefosina, que se ha utilizado en combinación con otros fármacos con éxito para tratar a pacientes con meningoencefalitis amebiana primaria. La miltefosina también se ha utilizado con éxito para tratar la encefalitis debida a Balamuthia, Sappinia, y Acanthamoeba; está disponible comercialmente. A pesar de la posibilidad de que miltefosina cause anomalías congénitas, puede considerarse para pacientes embarazadas porque la meningoencefalitis amebiana primaria suele ser letal sin tratamiento; por lo tanto, los beneficios potenciales de la terapia pueden superar los riesgos para el feto.
Otros agentes antimicrobianos que se han utilizado en los regímenes de tratamiento combinado para Naegleria incluyen los siguientes:
Anfotericina B
Rifampicina
Un azol (fluconazol, voriconazol o ketoconazol)
Azitromicina o minociclina
La nitroxolina es un fármaco en investigación que puede ser eficaz como parte de la terapia combinada. En Estados Unidos, está disponible a través de los CDC (por las siglas en inglés de Centros para el Control y la Prevención de Enfermedades) (1).
Los anticonvulsivos y la dexametasona a menudo deben indicarse para controlar las convulsiones y el edema cerebral (2). Puede ser necesaria la administración IV de manitol o solución salina hipertónica para lograr el control. El tratamiento intensivo del edema cerebral con hipotermia terapéutica (enfriamiento del cuerpo por debajo de la temperatura corporal normal) también se ha asociado con supervivencia y recuperación neurológica en los pocos pacientes que han sobrevivido (3).
Referencias del tratamiento
1. Chao-Pellicer J, Arberas-Jiménez I, Fuchs F, et al. Repurposing of Nitroxoline as an Alternative Primary Amoebic Meningoencephalitis Treatment. Antibiotics (Basel). 2023;12(8):1280. Published 2023 Aug 3. doi:10.3390/antibiotics12081280
2. Anwar A, Rajendran K, Siddiqui R, Raza Shah M, Khan NA. Clinically Approved Drugs against CNS Diseases as Potential Therapeutic Agents To Target Brain-Eating Amoebae. ACS Chem Neurosci. 2019;10(1):658-666. doi:10.1021/acschemneuro.8b00484
3. Pugh JJ, Levy RA. Naegleria fowleri: Diagnosis, Pathophysiology of Brain Inflammation, and Antimicrobial Treatments. ACS Chem Neurosci. 2016;7(9):1178-1179. doi:10.1021/acschemneuro.6b00232
Conceptos clave
La meningoencefalitis amebiana primaria es rara Ypor lo general fatal.
La infección se adquiere al nadar en agua dulce contaminada; Naegleria fowleri ingresa en el sistema nervioso central a través del neuroepitelio olfatorio y la placa cribosa.
Las pruebas de diagnóstico deben incluir un preparado húmedo y una muestra de líquido cefalorraquídeo teñida con Giemsa; puede ser necesaria una biopsia cerebral e inmunohistoquímica para confirmar el diagnóstico.
La infección se trata con múltiples antibióticos apropiados, incluida la miltefosina; si es necesario, las convulsiones y el edema cerebral se tratan con fármacos anticomiciales y dexametasona.
La supervivencia es rara, pero se ha atribuido al diagnóstico y el tratamiento tempranos en combinación con el tratamiento agresivo del edema cerebral.



