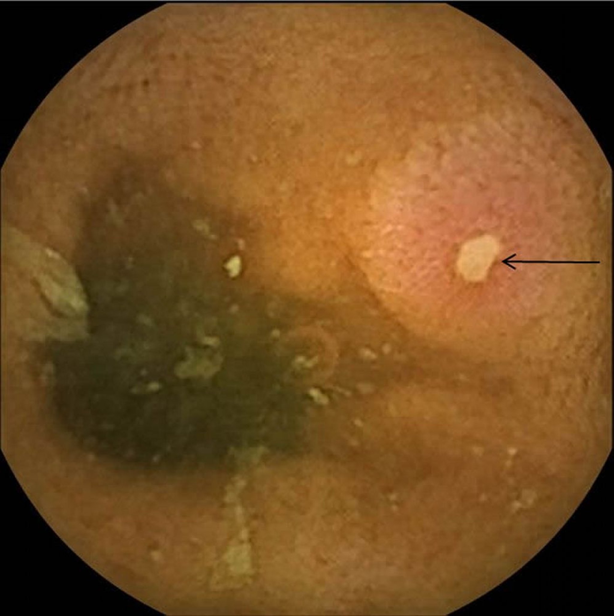
Ulkus des Ileums bei Morbus Crohn
Dieses Foto zeigt die Videokapselendoskopie eines charakteristischen aphthösen Ulkus bei Morbus Crohn. Das Ulkus (Pfeil) ist eine kleine, zentrale, weiße Vertiefung mit einem leicht erhabenen und erythematösen Rand.
Photo courtesy of Drs. Aaron E. Walfisch und Rafael A. Ching Companioni.
In diesen Themen
