Spondylitis ankylosans
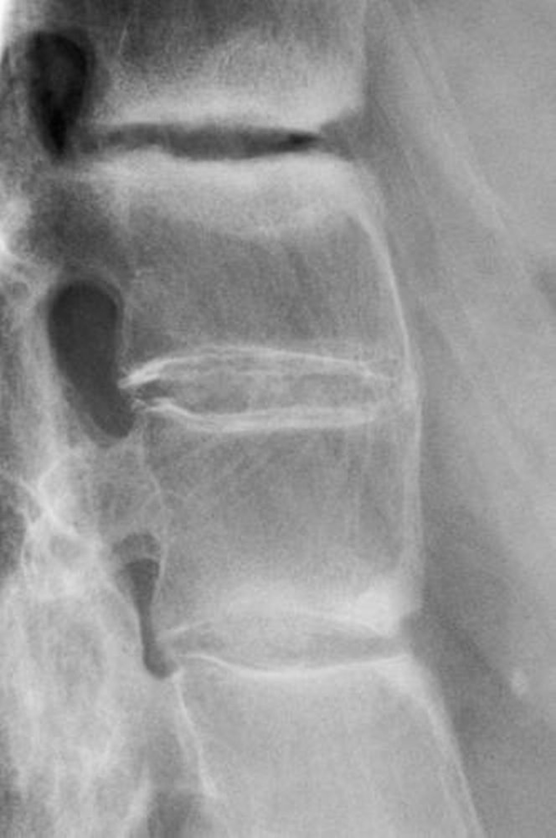
Diese Röntgenaufnahme zeigt eine Sklerose zwischen den Lendenwirbeln, einen Verlust der Lordose und eine Fusion der Lendenwirbel, ein Befund, der auf eine fortgeschrittene Spondylitis ankylosans hinweist.
DR P. MARAZZI/SCIENCE PHOTO LIBRARY
In diesen Themen
