Spannungspneumothorax
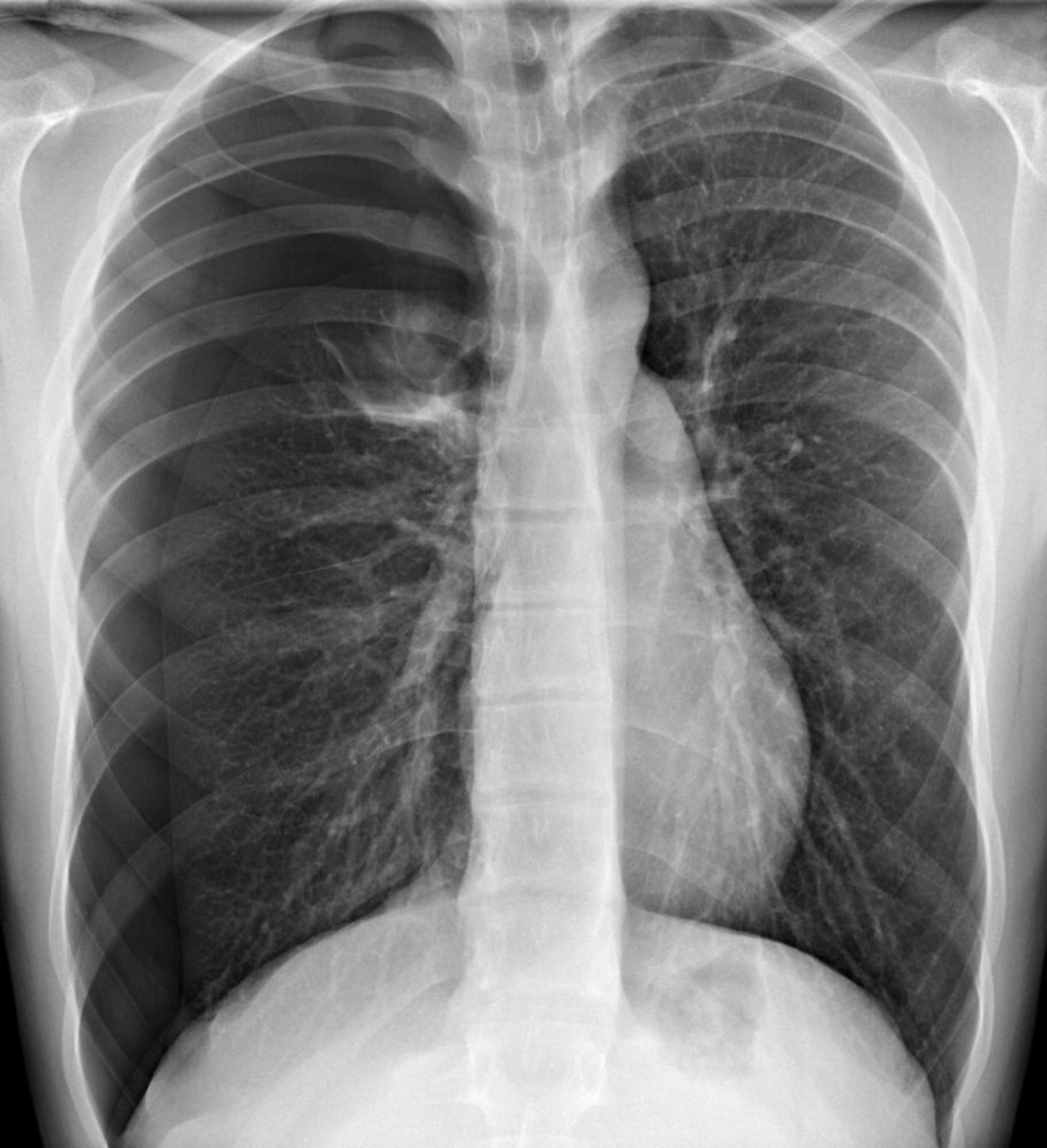
Auf diesem Bild ist ein Pneumothorax im rechten Hemithorax zu sehen, wo in der Peripherie keine Lungenmarkierungen vorhanden sind. Eine Verschiebung des Herzens und des Mediastinums nach links kann physiologisch einen Spannungspneumothorax verursachen. Ein Spannungspneumothorax sollte jedoch klinisch diagnostiziert werden und nicht erst durch eine Röntgenaufnahme bestätigt werden.
DU CANE MEDICAL IMAGING LTD/SCIENCE PHOTO LIBRARY
In diesen Themen
