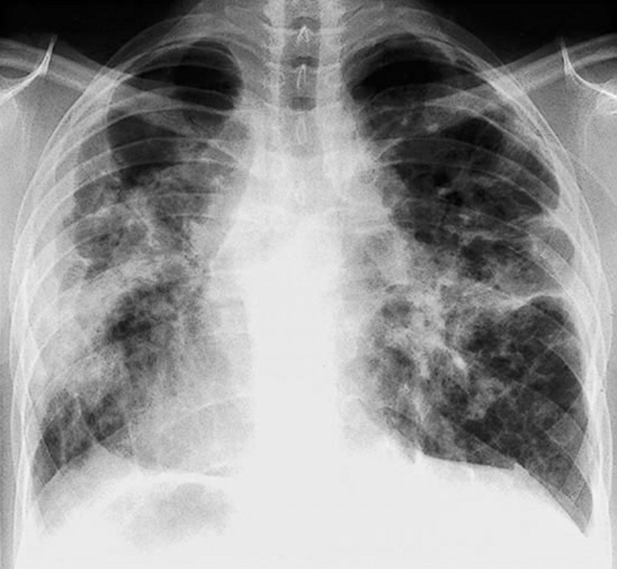
Sarkoidose (Stadium IV)
Schwere, diffuse Fibrose mit hilärer Adenopathie und zystischen Veränderungen der Oberlappen bei Sarkoidose im Stadium IV.
By permission of the publisher. From: Tanoue L, Elias J. In Bone's Atlas of Pulmonary and Critical Care Medicine. Edited by J Crapo. Philadelphia, Current Medicine, 2005.
In diesen Themen
