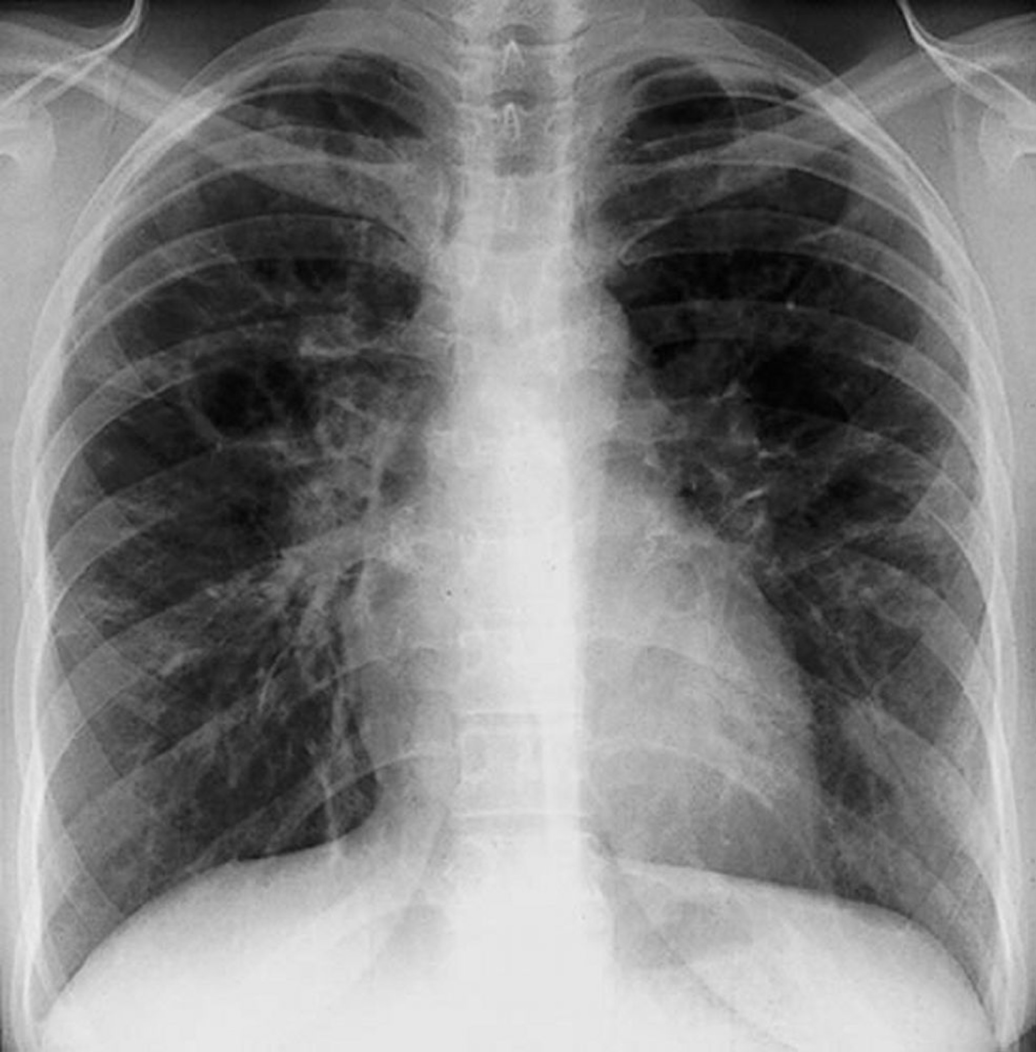
Sarkoidose (Stadium III)
Diffuse interstitielle Trübungen ohne hiläre Adenopathie bei Sarkoidose im Stadium III.
By permission of the publisher. Aus Tanoue L, Elias J. In Bone's Atlas of Pulmonary and Critical Care Medicine. Edited by J Crapo. Philadelphia, Current Medicine, 2005.
In diesen Themen
