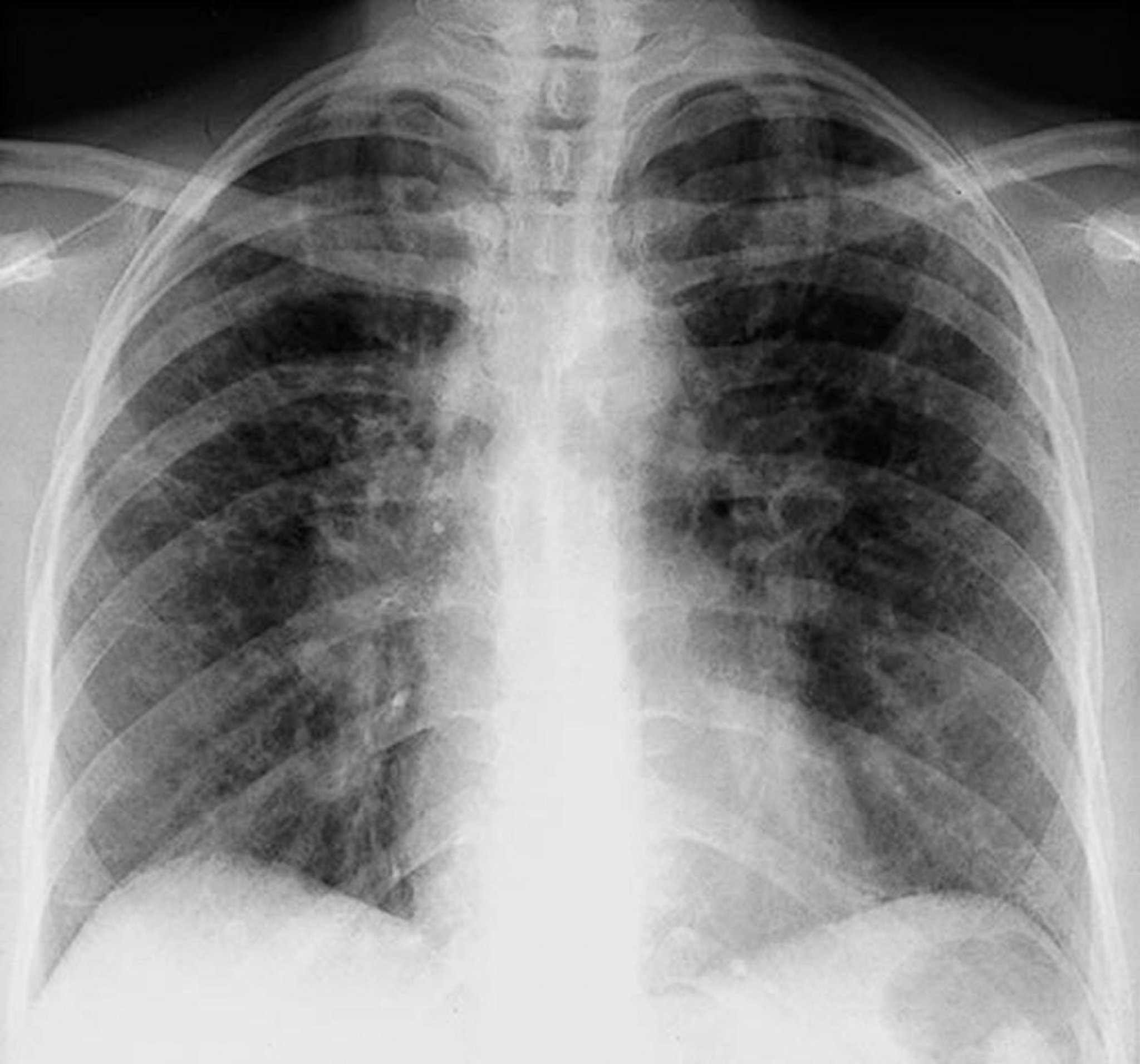
Sarkoidose (Stadium II)
Bilaterale hiläre Adenopathie mit interstitiellen Trübungen bei Sarkoidose im Stadium II.
By permission of the publisher. Aus Tanoue L, Elias J. In Bone's Atlas of Pulmonary and Critical Care Medicine. Edited by J Crapo. Philadelphia, Current Medicine, 2005.
In diesen Themen
