Sarkoidose (Histopathologie)
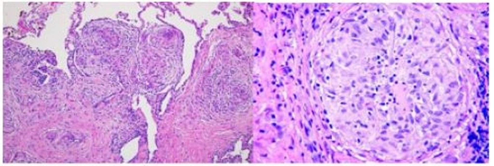
In diesem Bild zeigt eine Lungenbiopsie eines Patienten mit Sarkoidose Granulome entlang des bronchovaskulären Bündels (Hämatoxylin- und Eosinfärbung, geringe Vergrößerung; links) und Sarkoidgranulome mit vielkernigen Riesenzellen in der Mitte der Granulome (hohe Vergrößerung; rechts).
Image courtesy of Birendra P. Sah, MD, FCCP.
In diesen Themen
