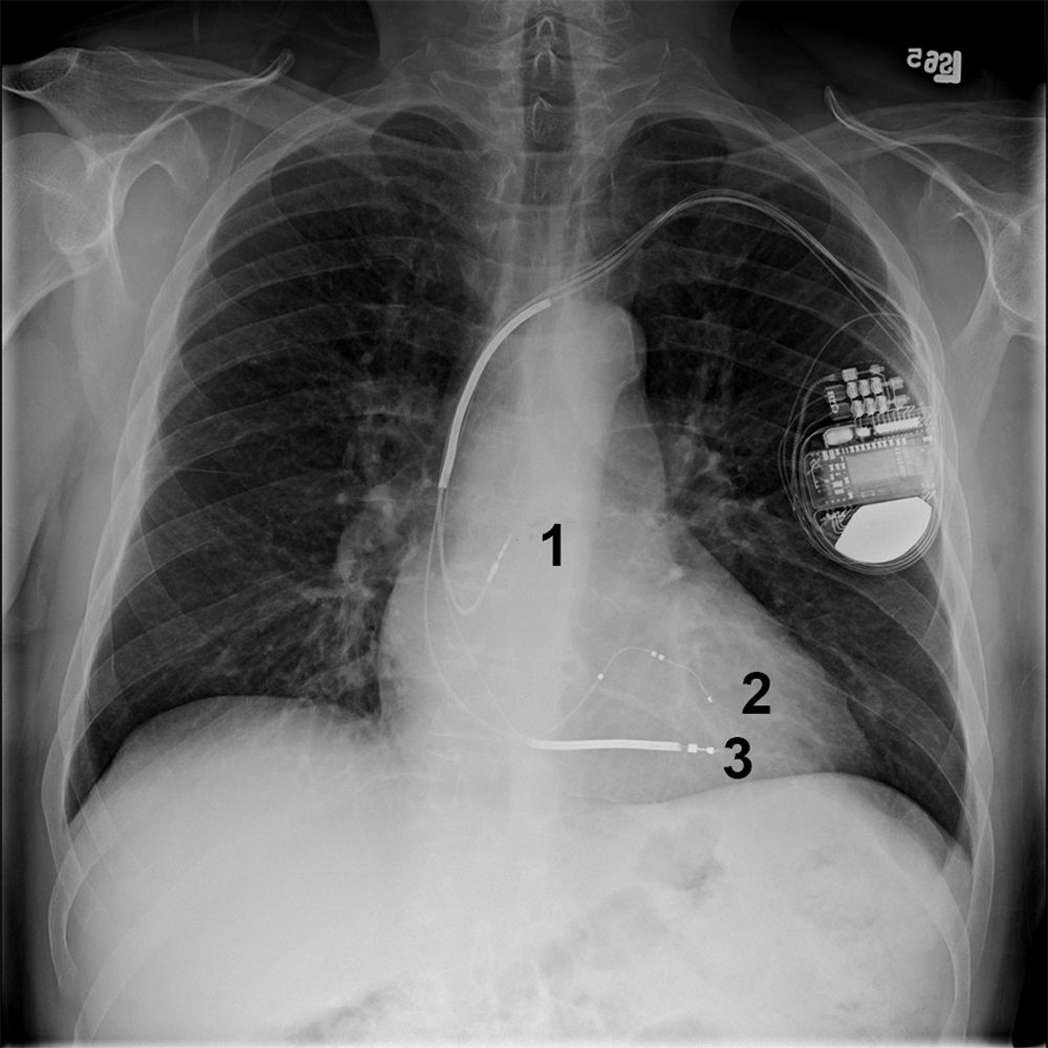
Röntgenthorax eines Patienten mit einem biventrikulären (bi-V) implantierbaren Kardioverter-Defibrillator (ICD)
Dieser Patient hat einen biV ICD im linken oberen Brustkorb mit Ableitungen im rechten Vorhof (1), linken Ventrikel (2) und rechten Ventrikel (3).
© 2017 Elliot K. Fishman, MD.
In diesen Themen
