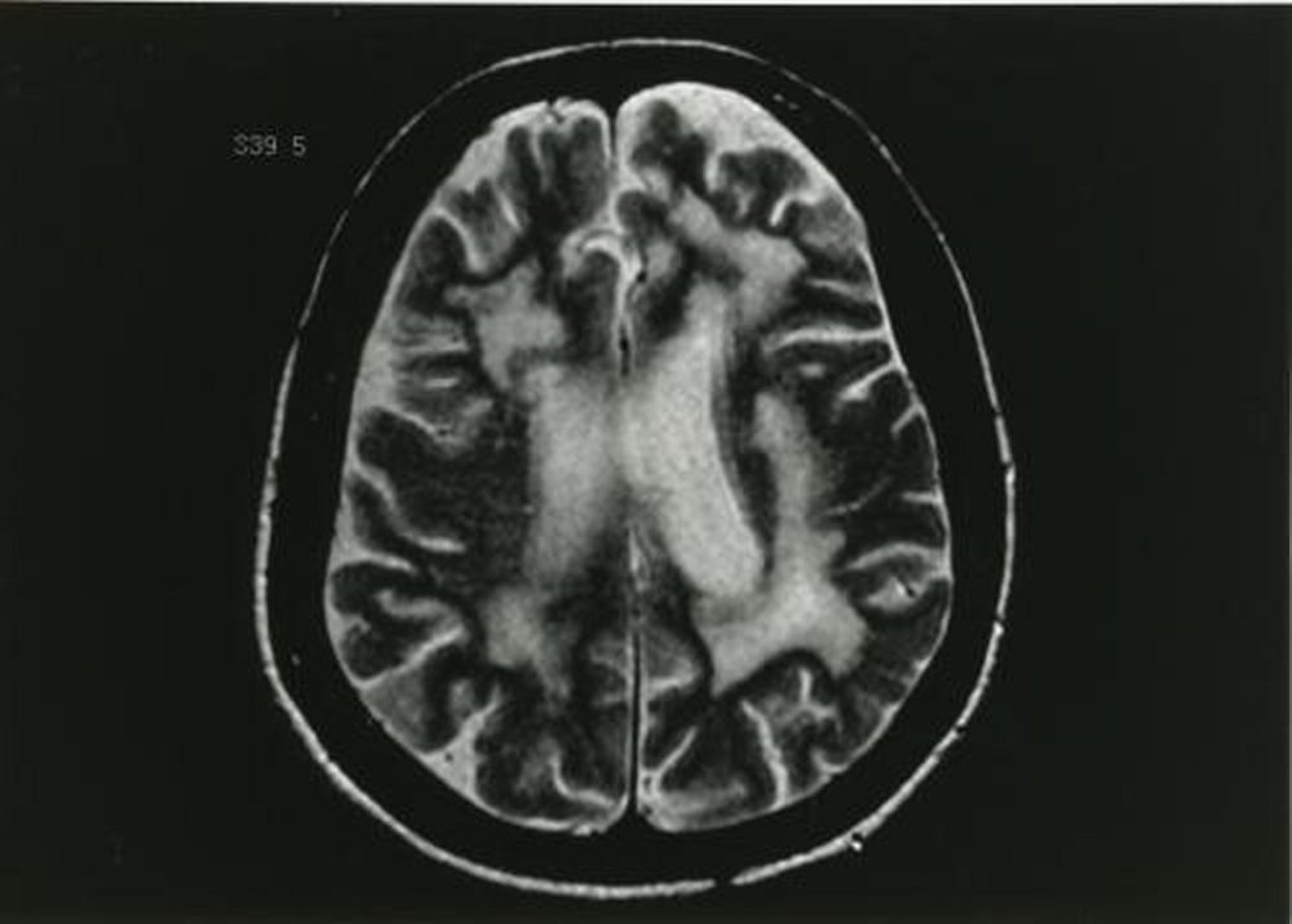
Progressive Multifokale Leukoenzephalopathie (PML)
Dieses T2-gewichtete MRT-Bild zeigt mehrere Veränderungen der weißen Substanz.
Abbildung zur Verfügung gestellt von John E. Greenlee, MD.
In diesen Themen
Dieses T2-gewichtete MRT-Bild zeigt mehrere Veränderungen der weißen Substanz.
Abbildung zur Verfügung gestellt von John E. Greenlee, MD.