Osteosarkom
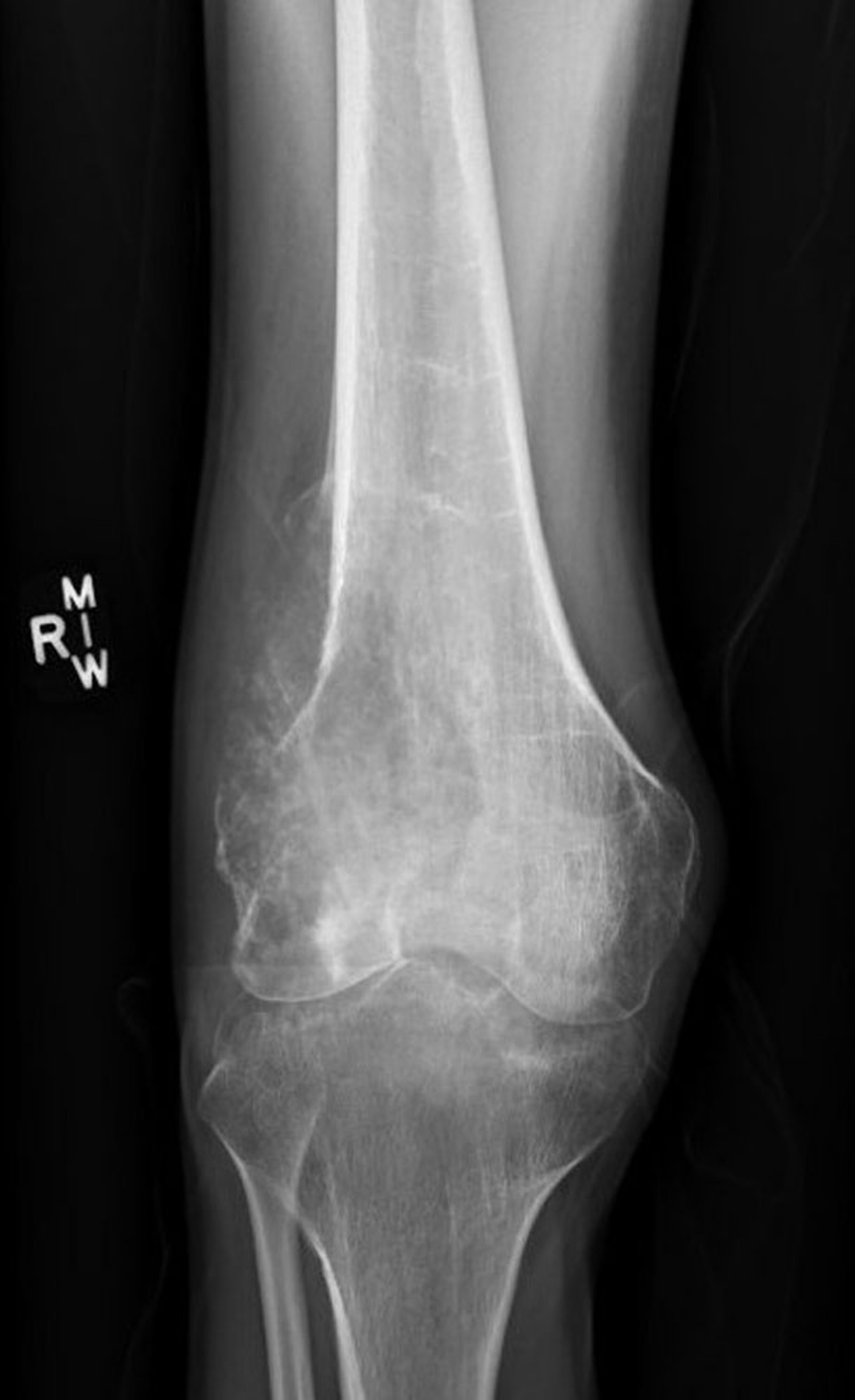
Diese Röntgenaufnahme des Knies zeigt ein destruktives Osteosarkom im Femur oberhalb des Knies mit einem lytischen destruktiven Erscheinungsbild und einem klassischen Codman-Dreieck mit pathologischer Periostanhebung.
Image courtesy of Lukas Nystrom, MD.
In diesen Themen
