Osteoidosteom
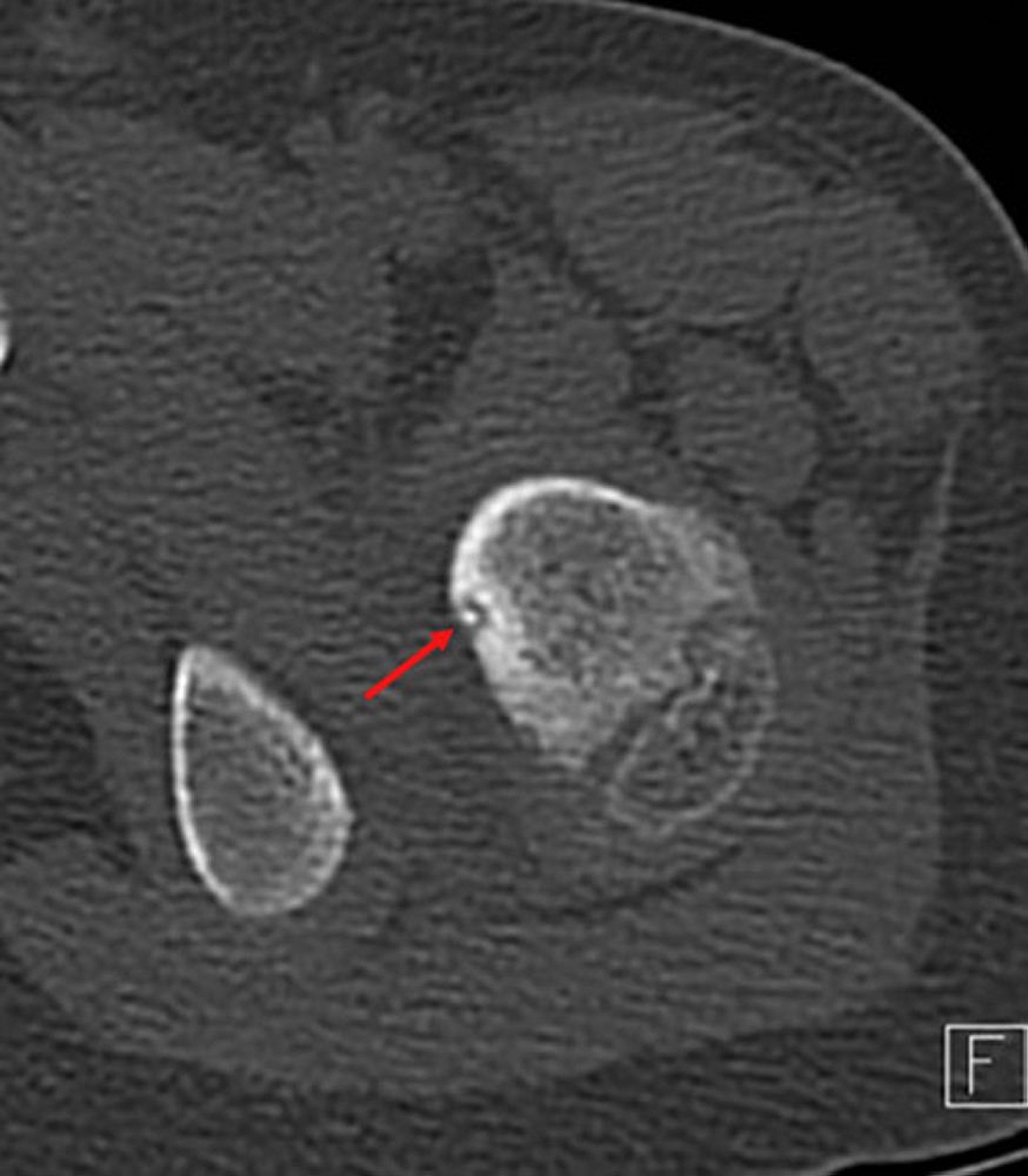
Axiales CT-Bild des proximalen Femurs (benachbarter Knochen ist Ramus pelvicus) und zeigt den typischen strahlendurchlässigen Nidus mit zentraler Verkalkung (Pfeil) und umgebendem reaktiven Rand bei einem Kind mit Schmerzen in der linken Hüfte.
Image courtesy of Michael J. Joyce, MD, and Hakan Ilaslan, MD.
In diesen Themen
