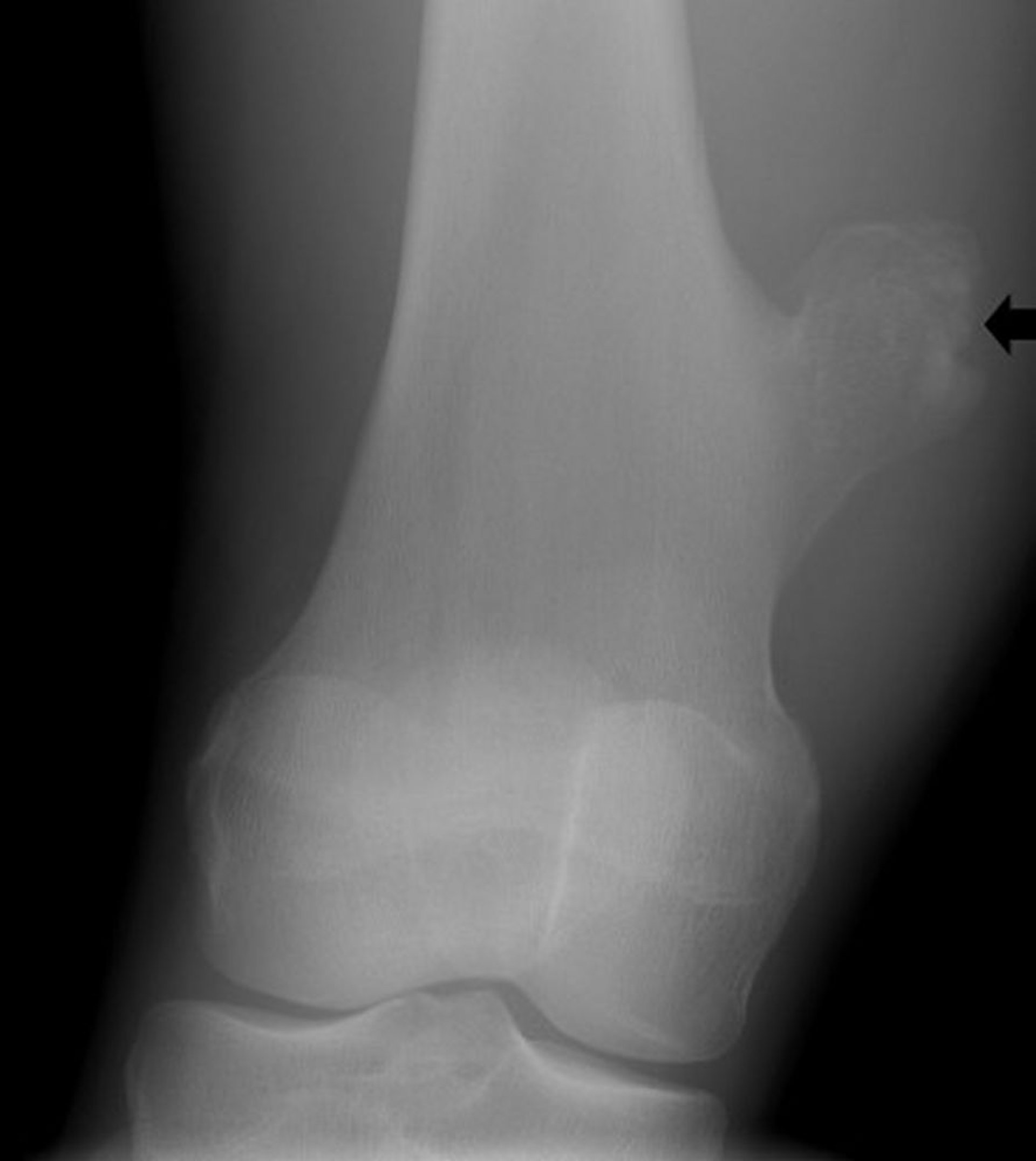
Osteochondrom des Knies
Diese Röntgenaufnahme des Knies zeigt einen knöchernen Auswuchs (Pfeil) vom Femur oberhalb des Kniegelenks, das mit einem Osteochondrom übereinstimmt.
Image courtesy of Michael J. Joyce, MD, and Hakan Ilaslan, MD.
In diesen Themen
