Orbitales Lymphom
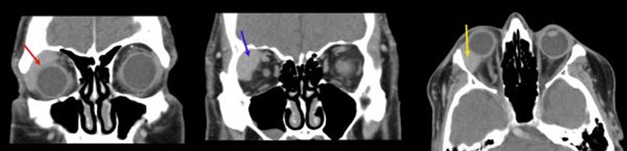
Auf dieser Abbildung zeigt die erste koronale CT-Aufnahme (links) eine homogene Masse, die sich dem Augapfel anpasst (roter Pfeil). Die zweite koronale CT-Aufnahme (Mitte) zeigt eine gut abgegrenzte Raumforderung in der rechten Fossa der Tränendrüse (blauer Pfeil). Die axiale CT-Aufnahme (rechts) zeigt eine homogene Masse in der Fossa lacrimalis, die dem rechten Augapfel entspricht (gelber Pfeil).
Images courtesy of James Garrity, MD.
In diesen Themen
