Nierenrindennekrose
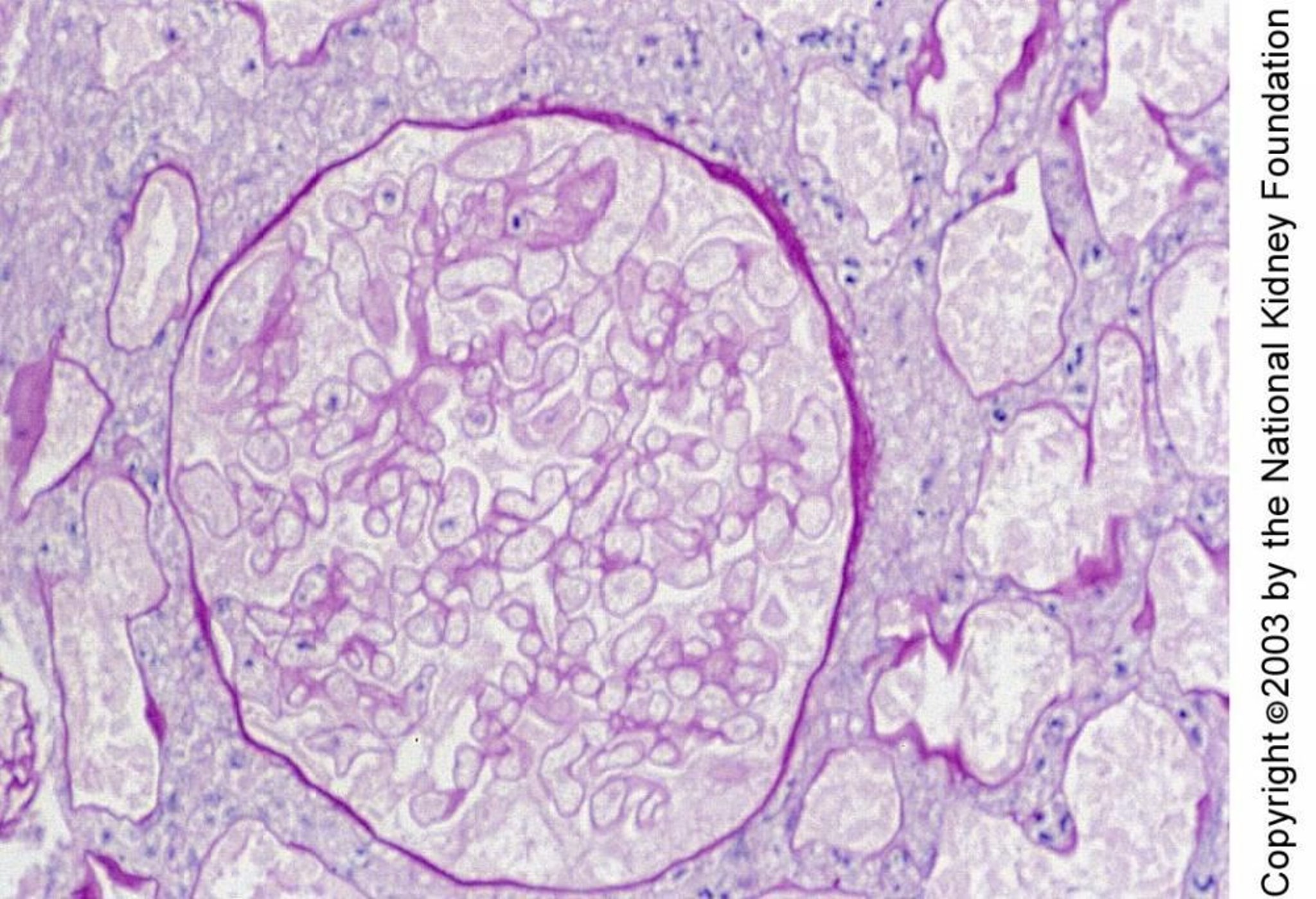
Die Nekrose der Nierenrinde ist histologisch durch die Nekrose von Glomeruli und Tubuli gekennzeichnet. Die Nekrose in dieser Biopsieprobe zeigt sich durch kleine Zellkerne und geisterhafte Umrisse der Zellen (periodische Säure-Schiff-Färbung, ×400).
Image provided by Agnes Fogo, MD, and the American Journal of Kidney Diseases' Atlas of Renal Pathology (see www.ajkd.org).
In diesen Themen
