Mitralklappenprolaps (Echokardiogramm)
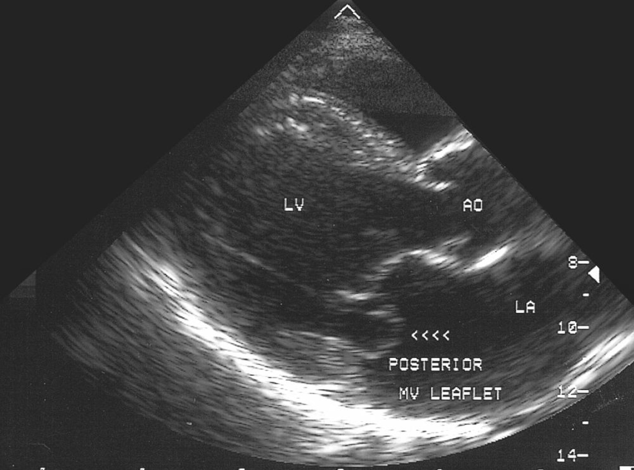
Diese echokardiographische Aufnahme zeigt einen Prolaps des hinteren Segels der Mitralklappe in das linke Atrium (LA).
© Springer Science+Business Media
In diesen Themen
Diese echokardiographische Aufnahme zeigt einen Prolaps des hinteren Segels der Mitralklappe in das linke Atrium (LA).
© Springer Science+Business Media