Lymphom des Knochens
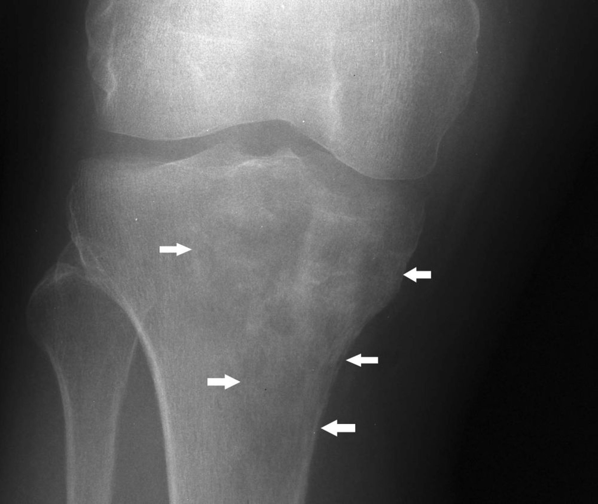
Diese Röntgenaufnahme des Knies zeigt ein Lymphom in der proximalen Tibia mit einem gemischten lytischen und sklerotischen Erscheinungsbild unterhalb des medialen Tibiakondylus (Pfeile).
Image courtesy of Michael J. Joyce, MD, and Hakan Ilaslan, MD.
In diesen Themen
