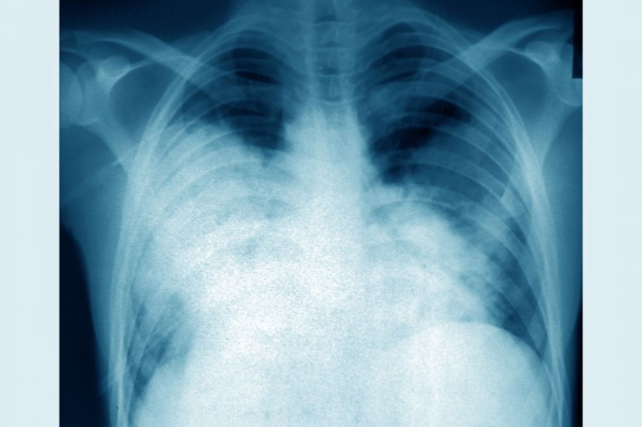
Legionärskrankheit (Röntgenthorax)
Dieses frontale Thoraxröntgenbild zeigt eine akute bilaterale Lungenentzündung (Legionärskrankheit, verursacht durch Legionella pneumophila).
CAVALLINI JAMES/BSIP/SCIENCE PHOTO LIBRARY
In diesen Themen
Dieses frontale Thoraxröntgenbild zeigt eine akute bilaterale Lungenentzündung (Legionärskrankheit, verursacht durch Legionella pneumophila).
CAVALLINI JAMES/BSIP/SCIENCE PHOTO LIBRARY