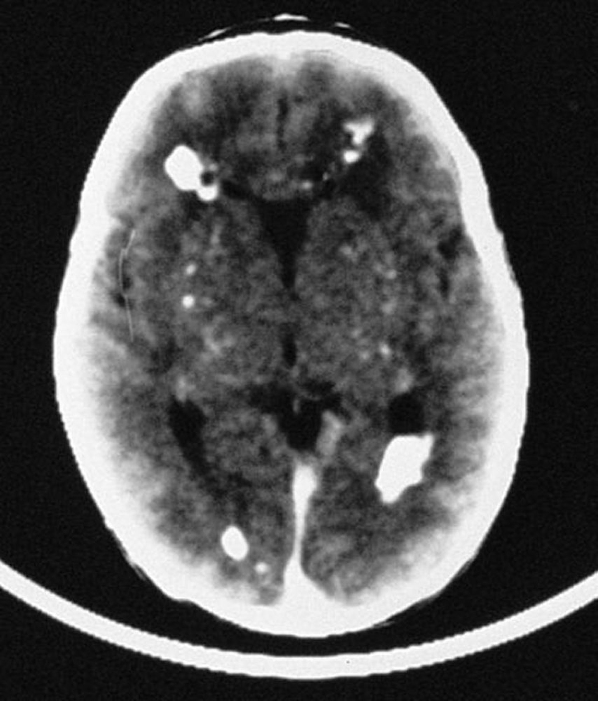
Kongenitale Zytomegalievirusinfektion
In diesem Bild zeigt das CT multiple intrakranielle Verkalkungen, die meist periventrikulär verteilt sind, aber auch vaskuläre Strukturen des Gehirns betreffen.
By permission of the publisher. From Demmler G: Congenital and perinatal infections. In Atlas of Infectious Diseases: Pediatric Infectious Diseases. Edited by CM Wilfert. Philadelphia, Current Medicine, 1998.
In diesen Themen
