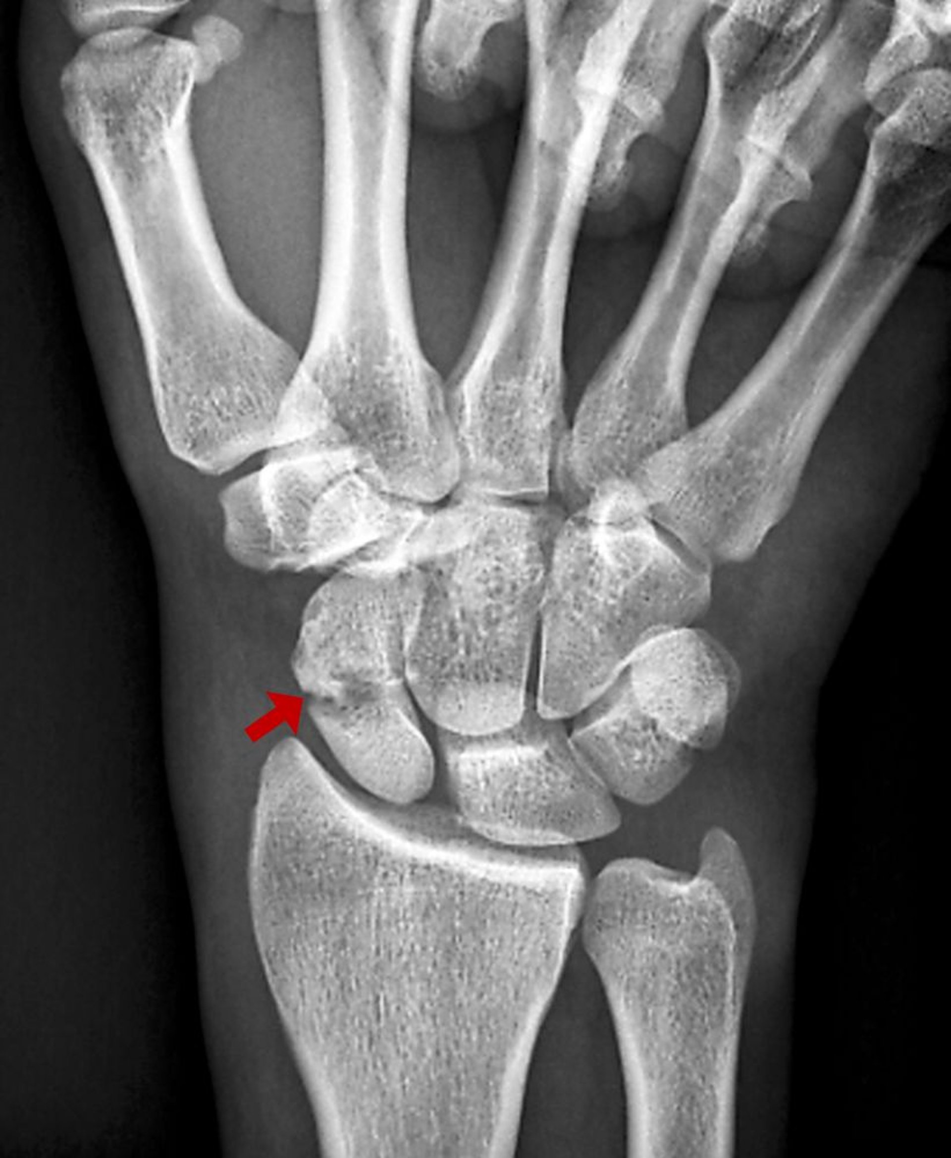
Kahnbeinbruch

Kahnbeinbruch

Diese Kahnbeinfraktur ist auf dem Röntgenbild als Bildaufhellung sichtbar.

ZEPHYR/SCIENCE PHOTO LIBRARY