Frakturen des Os naviculare

VonDanielle Campagne, MD, University of California, San Francisco
Reviewed ByDiane M. Birnbaumer, MD, David Geffen School of Medicine at UCLA
Überprüft/überarbeitet Geändert März 2025
v13387088_de
Aussicht hier klicken.

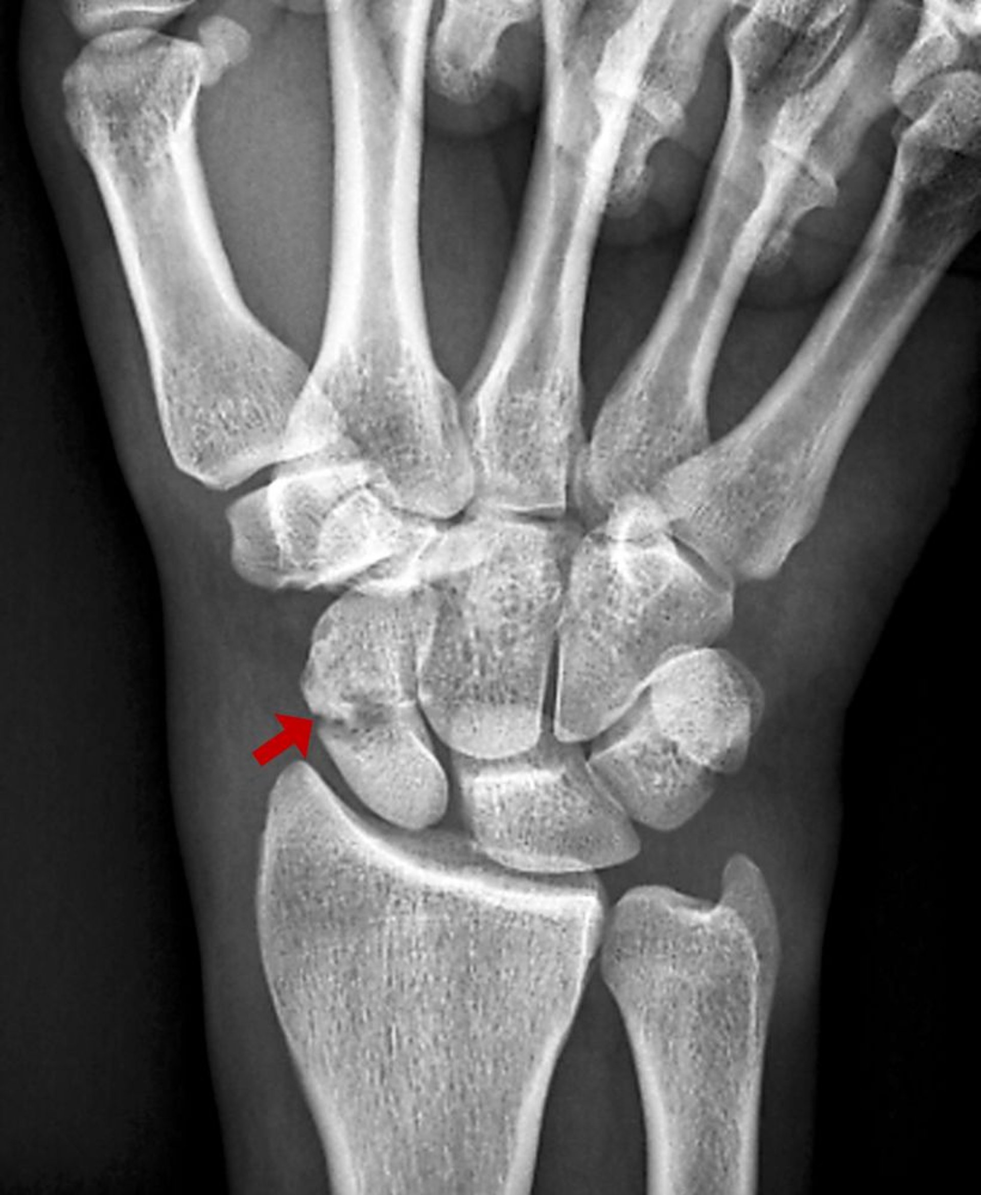
Kahnbeinfrakturen sind üblicherweise Ergebnis von Überstreckung des Handgelenks. Es kann sein, dass sie nicht bei den ersten Röntgenaufnahmen sichtbar sind. Komplikationen können schwerwiegend sein.

(Siehe auch Überblick über Frakturen.)

Das Kahnbein ist der am häufigsten verletzte Handwurzelknochen. Kahnbeinfrakturen werden in der Regel durch eine Überstreckung des Handgelenks verursacht, typischerweise während eines Sturzes auf die ausgestreckte Hand. Sie können die Blutversorgung zu dem proximalen scaphoideum stören. Die Osteonekrose gehört zu den häufigen Komplikationen, selbst wenn die Erstbehandlung optimal war, und kann eine die Funktion mindernde degenerative Arthritis des Handgelenks nach sich ziehen.

Symptome und Beschwerden von Kahnbeinfrakturen

Die radiale Seite des Handgelenks ist geschwollen und empfindlich. Wenn Patienten diese Symptome haben, sollte eine Skaphoidfraktur in Betracht gezogen werden. Weitere spezifische Symptome sind

  • Schmerzen während der axialen Kompression des Daumens

  • Schmerzen bei Handgelenksupination gegen Widerstand

  • Besonders Empfindlichkeit in der anatomischen Tabatière während ulnarer Handgelenkabweichung

Die anatomischen Tabatière, ist zwischen den Sehnen des M. extensor pollicis longus, des M. extensor pollicis brevis und des M. abductor pollicis longus tastbar.

Diagnose von Kahnbeinfrakturen

  • Röntgenaufnahmen

  • MRT

  • Wenn eine Skaphoidfraktur vermutet wird und die Bildgebung nicht diagnostisch ist, erfolgt eine präsumptive Behandlung mit einer Daumenspikaschiene und eine Kontrollröntgenaufnahme

Zunächst werden Röntgenaufnahmen (anteroposteriore, laterale und schräge Ansichten) angefertigt, die jedoch häufig normal sind. Nur etwa 70% der Kahnbeinfrakturen sind auf ersten Röntgenaufnahmen zu sehen (1).

Wenn die Röntgenbilder normal sind, aber eine Fraktur immer noch vermutet wird, kann ein MRT durchgeführt werden. Die MRT kann zur Diagnose von Skaphoidfrakturen eingesetzt werden, da sie in der Akutsituation genauer ist als CT oder Knochenszintigraphie (1).

Wenn eine Fraktur klinisch vermutet wird und die Bildgebung nicht diagnostisch ist, wird sie vermutlich als Fraktur behandelt und a Daumen-Spica-Schiene wird angewendet. Der Patient sollte 1 Woche nach der Verletzung erneut untersucht werden. Wenn der Patient noch Schmerzen hat oder das Handgelenk bei der Untersuchung 1 Woche nach der Verletzung druckempfindlich ist, sollten wiederholte Röntgenaufnahmen, CT-Scans oder MRT durchgeführt werden.

Tipps und Risiken

  • Wenn klinische Befunde auf eine Kahnbeinfraktur hindeuten, führen Sie eine MRT durch oder stellen Sie mit einer Daumenspikaschiene ruhig, auch wenn kein Bruch offensichtlich auf dem Röntgenbild zu erkennen ist.

Daumenverbandschiene

Literatur zur Diagnose

  1. 1. Gäbler C, Kukla C, Breitenseher MJ, Trattnig S, Vécsei V. Diagnosis of occult scaphoid fractures and other wrist injuries. Are repeated clinical examinations and plain radiographs still state of the art?. Langenbecks Arch Surg. 2001;386(2):150-154. doi:10.1007/s004230000195

  2. 2. Carpenter CR, Pines JM, Schuur JD, et al. Adult scaphoid fracture. Acad Emerg Med. 21 (2):101–121, 2014. doi: 10.1111/acem.12317

Behandlung von Kahnbeinfrakturen

  • Daumenspica-Immobilisierung

Viele unverschobenen Frakturen können definitiv mit einem Daumengips behandelt werden, der für 6 bis 8 Wochen getragen wird. Eine Spikaschiene für den Daumen kann angelegt werden, wenn das Anlegen des Gipses aufgeschoben werden muss.

Manchmal ist eine offene Reposition mit interner Fixierung (ORIF) erforderlich, wenn eine mäßige Verschiebung der Fraktursegmente vorliegt.

Wichtige Punkte

  • Kahnbeinfrakturen werden in der Regel durch eine Überstreckung des Handgelenks verursacht, typischerweise während eines Sturzes auf die ausgestreckte Hand.

  • Diese Frakturen können die Blutzufuhr zum proximalen Skaphoid unterbrechen. Osteonekrose ist daher eine häufige, manchmal behindernde Komplikation.

  • Erstellen Sie anteroposteriore, laterale und schräge Röntgenbilder; wenn die Bildgebung normal oder nicht diagnostisch ist, die klinischen Befunde jedoch auf eine Kahnbeinfraktur hindeuten, führen Sie eine MRT durch oder stellen Sie den Daumen mit einer Spikaschiene ruhig und vereinbaren Sie eine erneute Röntgenuntersuchung in einer Woche.

quizzes_lightbulb_red
Test your KnowledgeTake a Quiz!
DE_MSD_Mobile_Pro_326iOS ANDROID
DE_MSD_Mobile_Pro_326iOS ANDROID
DE_MSD_Mobile_QR_Pro_326iOS ANDROID