Intrazerebrale Blutung
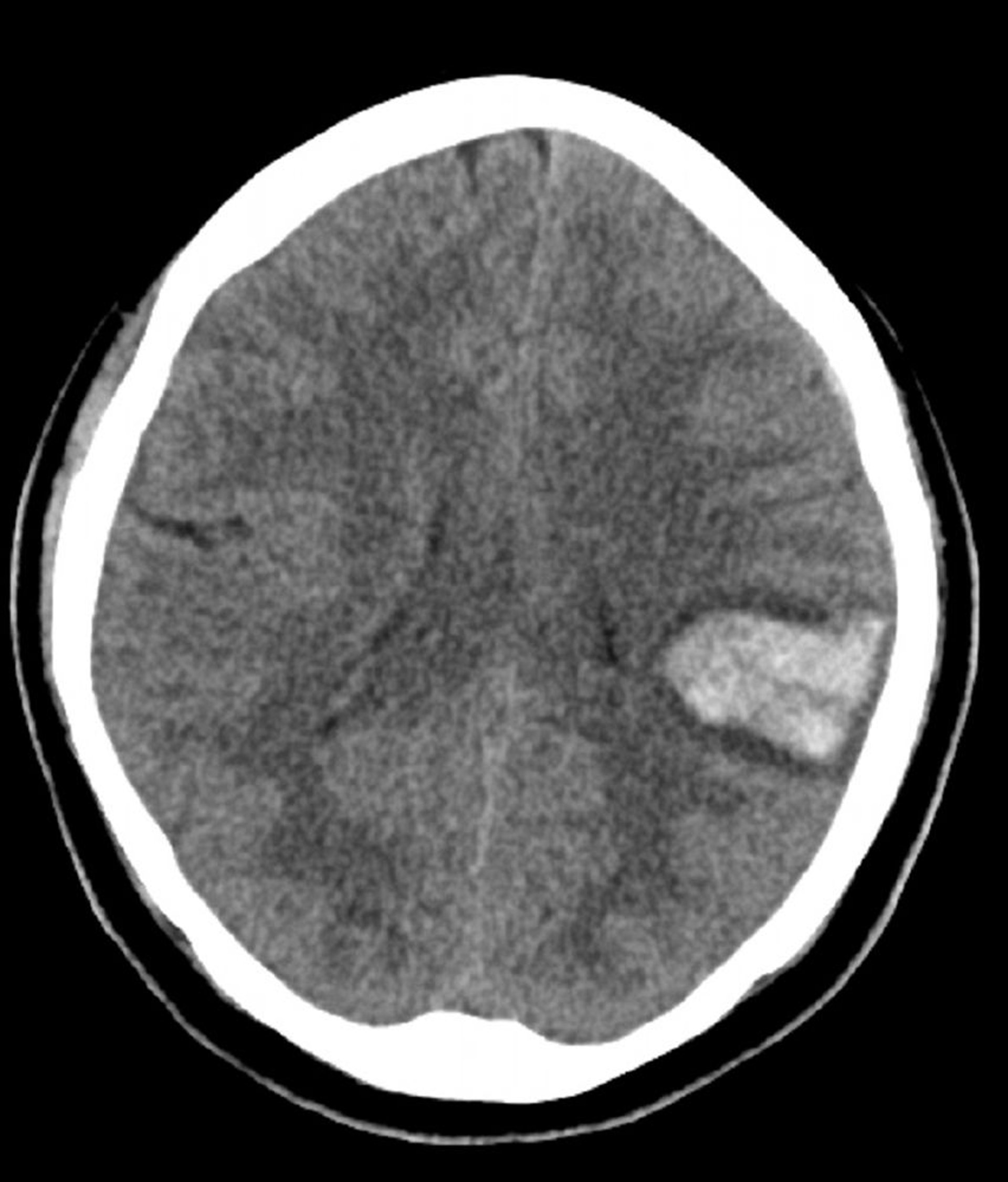
Die erhöhte Dichte im linken Gehirn auf diesem nicht kontrastverstärkten CT ist konsistent mit einer intrazerebralen Blutung.
© 2017 Elliot K. Fishman, MD.
In diesen Themen
Die erhöhte Dichte im linken Gehirn auf diesem nicht kontrastverstärkten CT ist konsistent mit einer intrazerebralen Blutung.
© 2017 Elliot K. Fishman, MD.