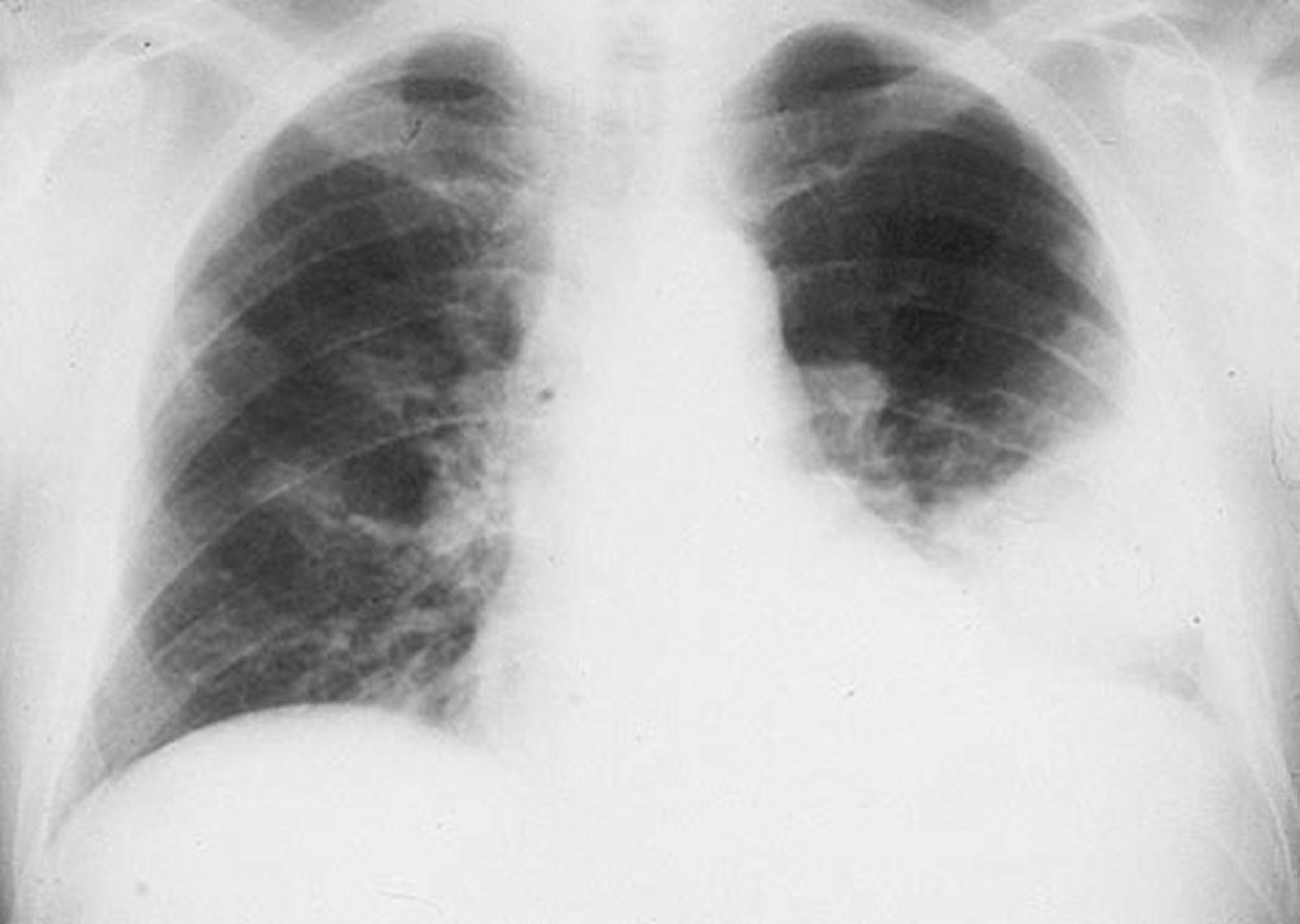
Infiltrat des linken Unterlappens
Alveolares Infiltrat des linken Unterlappens bei einem Mann mit bakterieller Pneumonie.
By permission of the publisher. Von Roberts R. In Atlas of Infectious Diseases: Pleuropulmonary and Bronchial Infections. Herausgegeben von GL Mandell (Serienherausgeber) und MS Simberkoff. Philadelphia, Current Medicine, 1996.
In diesen Themen
