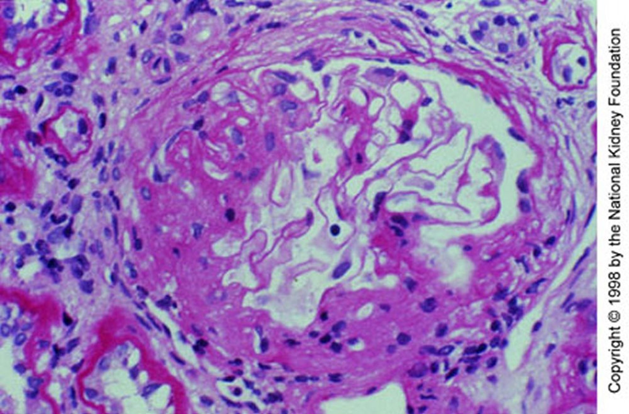
IgA-Nephropathie (mesangiale Expansion)
Mesangiale Expansion mit segmentaler Sklerose (periodische Säure-Schiff-Färbung, ×200).
Image provided by Agnes Fogo, MD, and the American Journal of Kidney Diseases' Atlas of Renal Pathology (see www.ajkd.org).
In diesen Themen
