Hypophysen-Mikroadenom
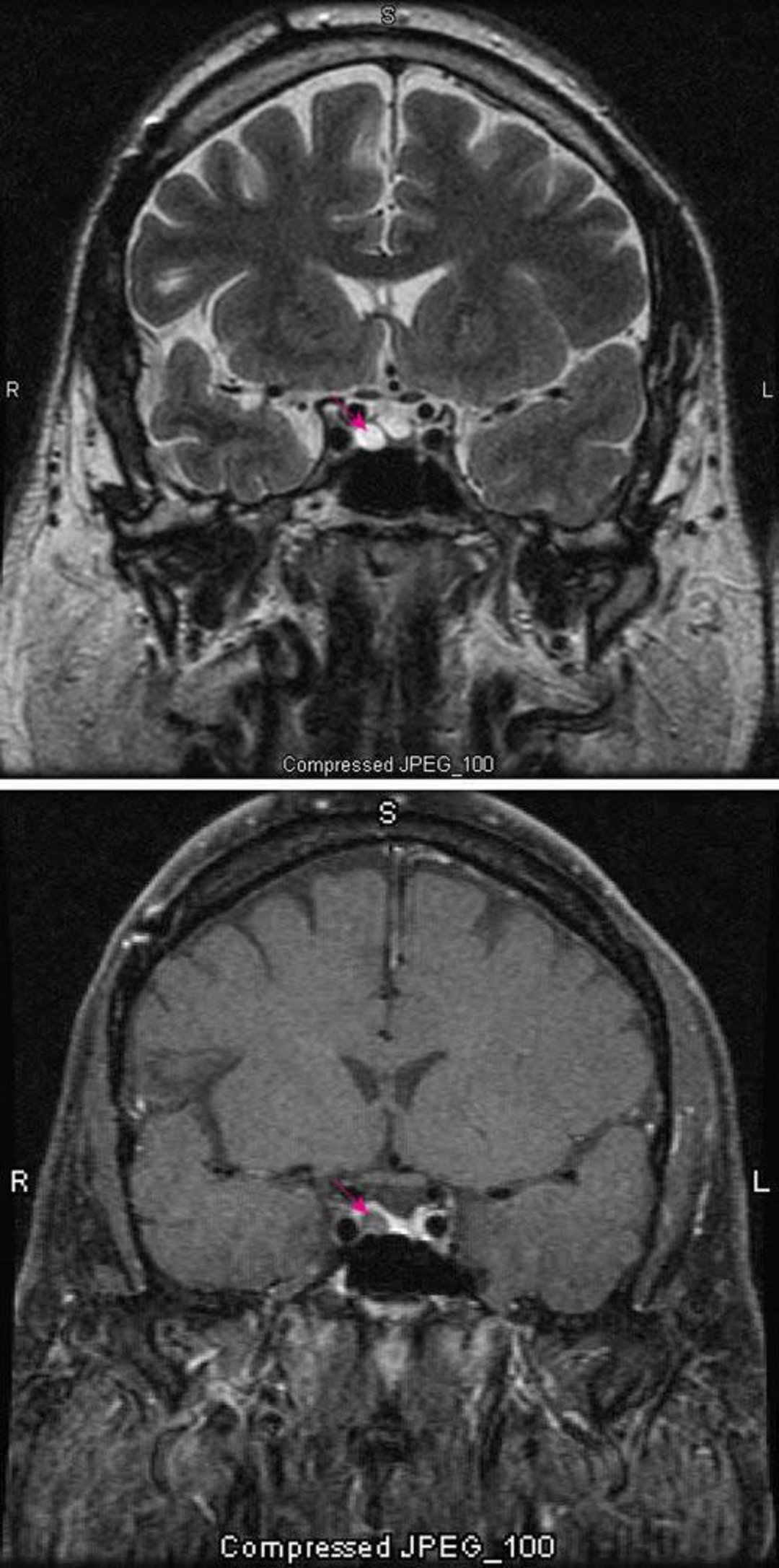
Die T2-gewichtete MRT-Aufnahme (oben) zeigt ein hypophysäres Mikroadenom (roter Pfeil). Der Kontrast (unten) verstärkt normalerweise die Hypophyse (roter Pfeil). Das Adenom erscheint heller.
Images courtesy of William R. Shapiro, MD.
In diesen Themen
