Hyperoxalurie
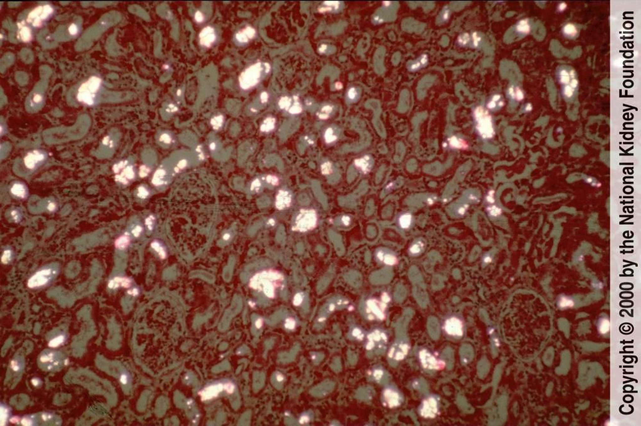
Kalziumoxalatkristalle lagern sich in den Nierentubuli ab und sind unter polarisiertem Licht als doppelbrechende, fächer- oder scheibenförmige Kristalle gut sichtbar (polarisierte Hämatoxylin-Eosin-Färbung, ×100).
Image provided by Agnes Fogo, MD, and the American Journal of Kidney Diseases' Atlas of Renal Pathology (see www.ajkd.org).
In diesen Themen
